6 月 8 日,湖州市中心医院心脏瓣膜团队单日完成了 3 例高难度手术,其中 2 例为高危经导管主动脉瓣置换术(TAVR),1 例为二尖瓣钳夹治疗术 (Dragonfly)。这不仅彰显了团队的技术实力与高效协作能力,更标志着医院在瓣膜病微创治疗领域达到新高度。术中,团队针对复杂解剖结构(如二叶瓣畸形、巨大瓣环、升主动脉增宽等),运用新一代瓣膜支架精准定位技术及多模态影像引导,成功突破传统手术禁区,术后患者症状均即刻缓解。


案例一:
二叶瓣重度狭窄患者——TAVR 手术突破「生死禁区」
66 岁的王大爷反复出现活动后胸痛、胸闷,甚至多次晕厥,辗转多家医院未能明确病因。来到市中心医院瓣膜门诊后,经心脏超声及 CT 检查确诊为重度主动脉瓣狭窄,且存在先天二叶瓣畸形,瓣环直径达 32.4 mm,升主动脉增宽,手术风险极高。
由于患者合并严重肺部疾病,外科开胸手术风险极大,团队经过详细讨论,决定采用经导管主动脉瓣置换(TAVR)手术。术中,针对二叶瓣钙化不均、升主增宽、巨大瓣环、敞口流出道等难点,团队采用 snare 牵引等技术手段,将人工瓣膜精准定位,通过新一代瓣膜支架的「锚定-释放」设计,成功避免瓣膜移位。术后患者症状立即消失。

术后重复造影可见人工瓣膜工作正常,狭窄完全解除,未见明显瓣周漏

案例二:
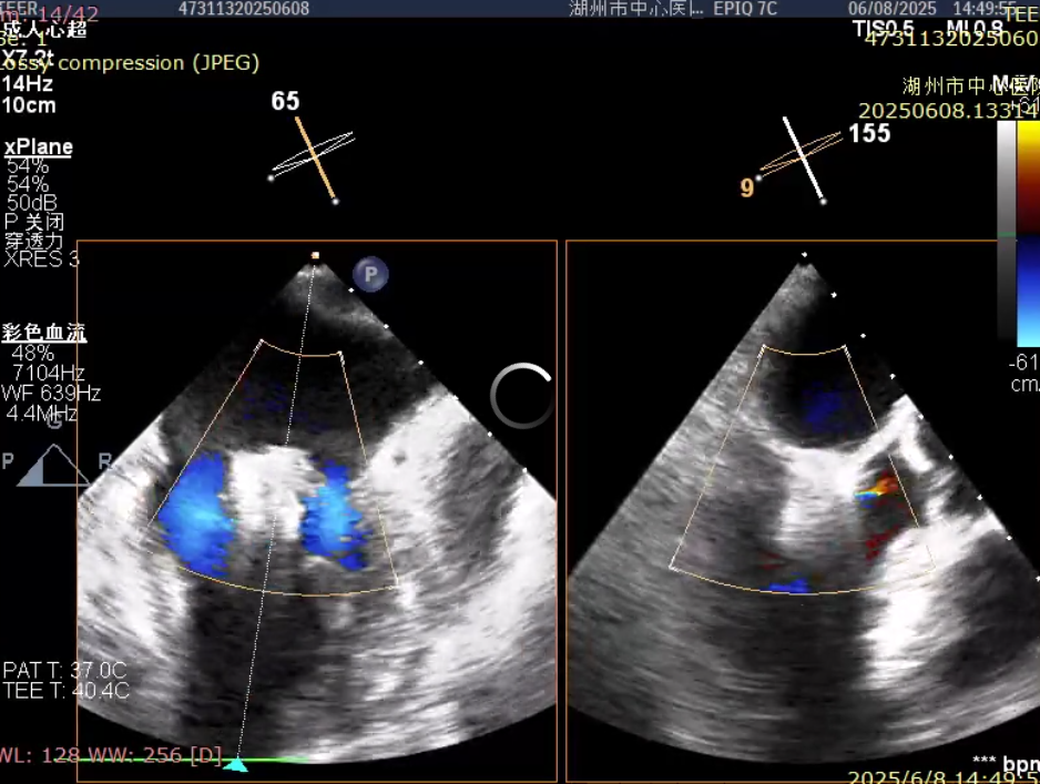
二尖瓣脱垂患者——微创钳夹术「秒杀」心衰危机
79 岁的李奶奶因活动后胸闷、血压偏低入院,心超提示二尖瓣脱垂伴重度返流,左房压力高达 45 mmHg,常规药物治疗无效。考虑到患者高龄、瘦弱且基础病多,团队选择经导管二尖瓣钳夹术。术中,在超声实时引导下,通过股静脉送入钳夹装置,精准夹合脱垂瓣叶,左房压力即刻降至 12 mmHg。



根据浙江省医疗保障局文件规定,为加快推进长三角医保一体化发展,支持创新医药技术临床应用,促进我省医学高峰建设,提升群众医疗保障水平,自 2025 年 5 月 1 日起,取消「血管支架、非血管支架、人工血管、人工瓣膜」等 4 类医用耗材医保支付最高限额 3 万元的标准,按基本医疗保险规定支付。经导管主动脉瓣置换术(TAVR)费用显著下降,这一调整极大减轻了患者经济负担,让更多高龄、高危患者能够及时接受先进治疗。
作为浙北地区地市级医院唯一常规独立开展 TAVR 手术的心脏瓣膜中心,湖州市中心医院心脏瓣膜团队在浙江大学附属第二医院王建安院士团队支持下,突破区域救治技术瓶颈、充分发挥多学科协作机制,率先成为浙北地区瓣膜病微创治疗标杆。
好文章,需要你的鼓励