近日,重庆市黔江中心医院血液肿瘤科联合神经外科顺利开展一例 CT 引导下经颅骨脑占位性病变穿刺的新技术,该技术对诊断和治疗脑占位性病变具有重要意义。
患者朱某,因双侧大脑半球多发性占位病变,性质不明确,为求进一步诊治来重庆市黔江中心医院就诊。该患者入院后筛查肝脏、肺脏、胃肠道、乳腺等脏器均无异常,目前包括 PET-CT 等辅助检查无法明确病灶具体性质,而组织标本病理诊断对该患者下一步治疗选择至关重要。故血液肿瘤科廖修用副主任医师团队决定对患者行 CT 引导下经颅骨脑占位性病变穿刺术。
01

术前,在医务部组织下召集神经外科、放射科、病理科等科室专家对该穿刺进行充分讨论,评估风险并制定了预案。
02


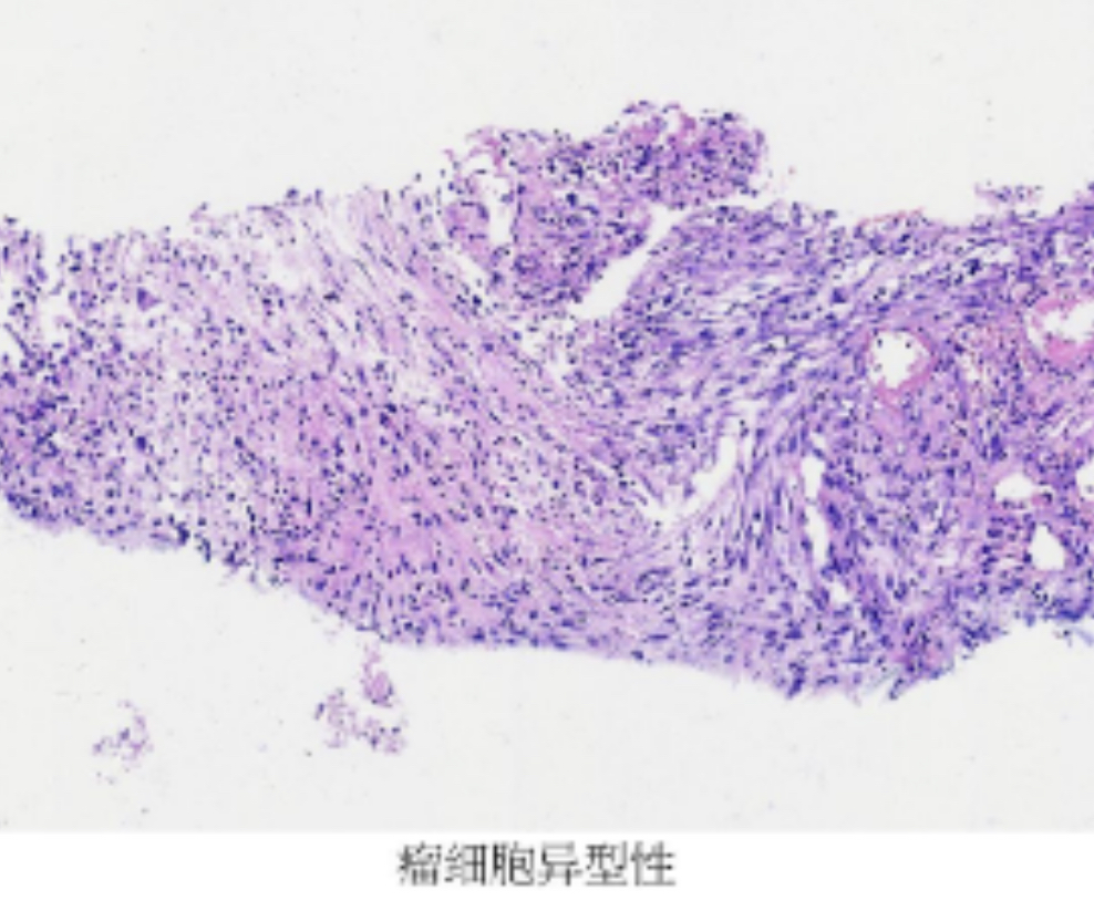
术中,肿瘤科廖修用副主任医师以及神经外科张维波副主任医师反复评估病灶及周围血管情况,尽可能减少脑组织及周围血管损伤的情况下确定安全的进针路径。穿刺过程顺利,术后复查颅脑 CT 未见明显出血等并发症。术后病理检查提示高度恶性胶质肉瘤。



该活检技术开展,填补了片区技术空白,体现重庆市黔江中心医院多学科诊疗模式下医疗水平,提升医疗服务能力,为精准诊疗时代奠定了坚实基础。
好文章,需要你的鼓励