冯先生在近期出现了大便习惯改变,有时腹泻,下腹坠胀,总有欲下不下之感,每天七八次,解黄色水样便,便中带血丝,量不多。但有时又会有便秘,服用缓泻药物后二到三天可解白色羊粪样便。
大便习惯改变的问题为他的生活带来了极大困扰。
决定寻求医疗帮助的冯先生来到了罗湖区人民医院。肠镜检查发现,冯先生肠道里有多发的占位性病变,有的肿块巨大,已经导致了 肠道狭窄。这些病变都是导致冯先生大便问题的根本原因。
医生建议冯先生住院进一步完善检查,明确诊断后再决定进一步治疗方案。
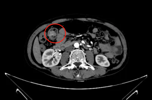
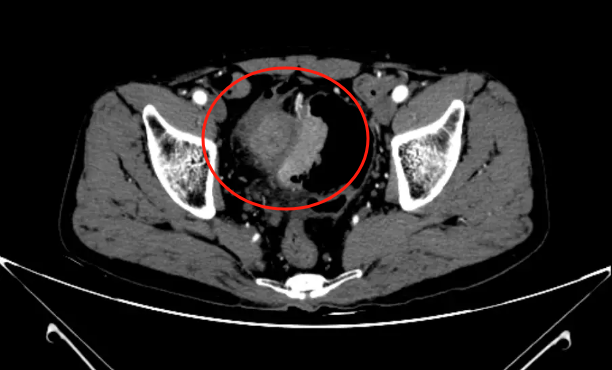
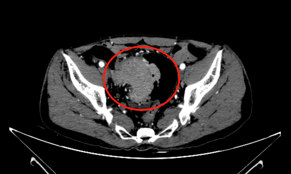
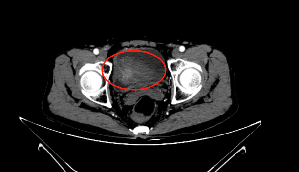
通过进一步检查发现,冯先生肠道内 多发占位,考虑 肿瘤性病变。其中升结肠见环腔肿物基本占据整个肠腔,直乙交界处巨大肿物侵犯膀胱。

升结肠肿瘤
肿瘤位置 CT

直肠肿瘤

直肠肿瘤

直肠肿瘤侵犯膀胱
之前的肠镜活检结果也提示,两个部位肿物均为恶性肿瘤。万幸的是,冯先生身体其他远隔部位和其他脏器未见到转移肿瘤的病灶。
普外科团队经过全科讨论,决定为冯先生进行手术治疗,并充分考虑到他腹腔有多处恶性肿瘤,肿瘤侵犯膀胱,同时还有过十二指肠破裂穿孔手术病史。
术前评估不能除外术中行肠造瘘和膀胱造瘘的可能。但冯先生还是希望能够一次手术解决所有问题。术前,普外科请麻醉科和泌尿外科会诊协助诊治,为手术保驾护航。
遵循着快速康复原则,在护理团队的配合下,冯先生术前得到了充分的呼吸锻炼、营养支持、术前宣教。手术如期进行。
术中,泌尿外科通过膀胱镜检查,发现冯先生的直肠肿瘤尚未侵犯到膀胱输尿管等重要结构,但在膀胱其他位置也偶然发现了原发肿瘤。
有了泌尿外科的检查,普外科为冯先生行 直肠癌扩大根治、膀胱部分切除、膀胱肿瘤切除、右半结肠根治等手术。

在普外科医生的努力下,手术非常顺利,所有肿瘤均一期切除,膀胱的功能也得以保留。既避免了肠造瘘和膀胱造瘘带来的生活负担,也减少了二次手术带来的风险和经济压力。
术后病理提示,冯先生除了肠道的两处恶性肿瘤及一处良性肿瘤外,膀胱也有原发恶性肿瘤。四处肿瘤均通过一次手术完整切除。
罗湖区人民医院普外科的医生们并没有在手术结束后放松警惕,他们清楚地知道,患者还需要进行进一步的术后辅助治疗。普外科医护团队将继续为冯先生的健康保驾护航。
随着近年来生活水平的提高,饮食文化的多元化,结直肠癌的发病率越来越高
普外科医生提醒您
>>
1. 重视合理的生活规律和饮食结构
2. 重视有规律的排便
3. 警惕排便习惯和大便性质的微小变化
4. 及时的体检和筛查以及医疗干预对身体健康至关重要。早期发现和治疗可以带来更好的治疗效果。
如果您有任何腹部不适、大便习惯改变等情况,请尽早到医院让专业的医生为您提供最及时的帮助。
在繁忙的城市里,每一个医院都承载着无数家庭的期盼与希望。而罗湖区人民医院,就像一座守护城,默默地守护着每一位患者的健康。
在生命的征途上,每个人都值得拥有一个健康的明天。
来源:普外科
好文章,需要你的鼓励