近日武汉科技大学附属天佑医院神经外科团队连续为 2 位听神经瘤患者实施了精细「拆弹」手术,不开颅成功摘除听神经瘤,解除了瘤体压迫脑干、累及面神经的潜伏危险。
患者是 44 岁的李师傅,来之湖北红安县的工人,前 2 年发现听力下降,伴有耳鸣,当时未予以重视。就诊当地医院发现巨大右侧囊实性听神经瘤,大小约 4*3.3*4.2 cm。肿瘤压迫控制呼吸、心跳的「生命中枢」脑干,后来出现右侧肢体无力,右侧肢体肌力约 4 级。近日住入我院后,神经疾病诊疗中心王煜教授,神外金胜昔教授团队科学论证手术方案,再麻醉科胡玲教授团队精心护航下,历经 7 小时完整切除肿瘤,术后恢复良好,术后病理证实为听神经鞘瘤。

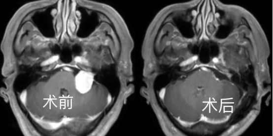
无独有偶,68 岁的胡爹爹在一年前发现左侧听力下降近伴有耳鸣,但却并未放在心上,最近通过其他人了解到可能是颅内长了肿瘤引起的才重视起来,来到我院神经外科专家门诊就诊。金胜昔教授给他做了行颅脑核磁共振之后,证实为左侧听神经瘤,肿瘤大小约 2.3*2.7*2.5 cm。术前电测听证实左侧无有效听力。通过完善术前检查后,再神经电生理、麻醉团队护航下历经约 6 小时完整切除肿瘤,术中面神经保护良好,术后病理提示为听神经鞘瘤。

神经外科金胜昔教授告诉大家,由于人们对于听神经瘤这一疾病的陌生感及认识不够全面,常在疾病发生时而不自知,导致肿瘤越长越大。听神经瘤是神经外科最常见的肿瘤之一。
神经疾病诊疗中心王煜教授提也醒大家,听神经瘤发病的早期症状多为不明原因的听力下降、耳鸣及头晕等,听力检查以及磁共振检查是及早明确诊断的有效方法。听神经瘤早发现早治疗,大多可以取得满意的治疗效果。
好文章,需要你的鼓励