突然咳嗽或大笑就会漏尿?原来是得了压力性尿失禁

作者:丁香园    2020-11-19
字体大小:

你听说过「尿失禁」吗?通俗来讲,它就是控制不住尿意,不自觉地发现自己裤子已经尿湿了。一般情况下,人们会认为只有在婴儿期和失去自理能力后,才会出现「尿失禁」的情况。但事实上,越来越多的女性突然发现自己无法克制小便,有时只是咳嗽一下,就会感到裤子湿了,这在医学上称为「压力性尿失禁」。据统计,成年女性压力性尿失禁的患病率可接近 20%,特别是 50~59 岁之间的女性,患病率竟接近 30%,严重影响了女性的生活质量。

发现这种「尿失禁」后怎么办?对于大多数女性患者而言,她们往往会感到难以启齿,羞于见人。其实,这是完全没有必要的。今天,我们就通过王阿姨的实例,给大家说说出现压力性尿失禁后正确的处理方式。

王阿姨的烦恼

51 岁的王阿姨有着一个困扰多年又难以启齿的烦恼——自从生完孩子后,她出现了咳嗽时漏尿的情况。王阿姨也曾跟小姐妹们悄悄探讨过,小姐妹们都说这是正常的。王阿姨听了之后,就没把这事儿再放在心上。

可是最近,她突然发现下身出现了「肿块」。这个肿块时大时小,走路时间长了或者用力提东西的时候它就会变大,躺下来休息又会缩回去……

王阿姨有点担心,这到底是怎么回事呢?思来想去,王阿姨终于下定决心来到医院就诊,妇科医生告诉她,需要先做一个盆底超声检查。

于是,她来到超声医学科进行检查。检查之前,王阿姨与超声医生进行了详细地交流,通过沟通,王阿姨的疑惑也慢慢地被解开……

王阿姨与超声科医生的对话

  • 王阿姨:我前段时间刚做过超声呀,说我有子宫肌瘤,别的没啥呀。为什么还要做超声检查呢?
  • 超声医生:您说的那个是普通的妇科彩超,主要是用于观察子宫和双侧附件情况的。盆底超声检查是把超声探头放在会阴部进行的检查,这个呢,主要是用来观察盆腔脏器结构变化和位置改变的。
  • 王阿姨:盆腔脏器是什么?
  • 超声医生:盆腔通俗来讲就是小肚子这里的脏器,主要有膀胱、子宫还有直肠。盆底超声检查主要就是看这三个器官位置有没有改变。
  • 王阿姨:小肚子嘛,晓得了。那脏器位置改变会怎么样啊?就会出现肿块吗?可我现在那个肿块没出来呀。
  • 超声医生:您看,您现在出现了会阴部的「肿块」,休息的时候就会回去,活动之后又会突出来,这就是典型的盆腔脏器脱垂。因为怀孕、分娩等因素对盆底支持结构会造成一定程度的损伤,就像橡皮筋松掉了一样,本来能够兜得住的东西就掉下来了。等会儿您在做检查的时候,我需要您配合进行用力排便还有缩肛的动作,这样才能对您的盆底功能进行一个比较完整的了解。
  • 王阿姨:哦,我大概明白了。那医生你快帮我看看我这是什么掉出来了,好吗?……

原来,人们的盆底肌肉群就像一张「吊网」,承托起了膀胱,子宫,直肠等脏器。在女性人群中,由于妊娠和生育等原因,其盆底肌肉群更易发生松弛,那么它所承托的脏器可能会发生位移,甚至脱垂,出现相应的功能障碍。例如,膀胱和直肠失去盆底肌肉的牵拉会出现尿失禁、大便失禁。那么,王阿姨这种情况,极有可能是由于盆底肌肉松弛而导致的盆腔脏器脱垂,并出现尿失禁这一功能障碍。

王阿姨的检查结果

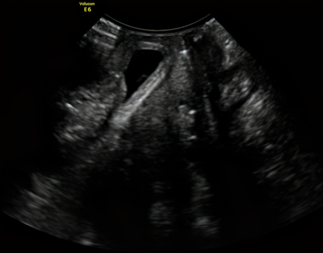
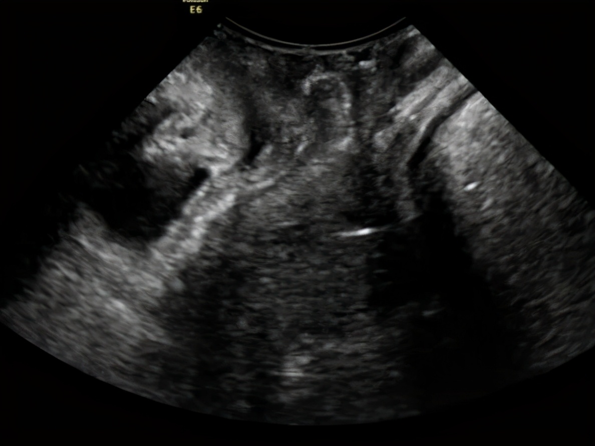
经过细致的盆底超声检查,医生确认王阿姨脱出来的「肿块」主要是膀胱的后壁,也就是所谓的 Green III 型膀胱脱垂;同时经过三维超声检查,王阿姨的耻骨直肠肌也没有明显的撕脱。根据超声结果,上海市同仁医院盆底疾病中心的医生为王阿姨定制了个性化的盆底治疗方案,现在王阿姨再也没有「肿块」的困扰了。


(静息状态)


(用力状态)


(缩肛状态盆膈裂孔三维成像)

一些建议

压力性尿失禁和盆腔脏器脱垂等盆底疾病在人群中的患病率较高,特别是在产后女性之中,但由于认识不足或羞于齿口等原因,其就诊率长期处在较低水平。超声检查是一种无创、可重复性好、无辐射的检查方式。经会阴盆底超声检查可以观察盆腔脏器位置及结构的改变,为临床诊治工作提供帮助。

 

*声明:本内容仅代表文章来源方观点,不代表本站立场。本内容仅供医学药学专业人士阅读,不构成实际治疗建议。

编辑: xujia    来源:上海市同仁医院

医院简介 更多

医院简介

上海市同仁医院,又名上海交通大学医学院附属同仁医院、上海市同仁红十字医院,成立于 1866 年,是上海开埠以来最早的西医院之一。百余年来,秉承「同心同德,仁怀仁术」的院训,始终致力于医学事业的发展与人民健康的保障。