近日,湖北省第三人民医院 阳逻院区心血管内科团队成功为一名 78 岁高龄、冠脉严重钙化的患者完成高难度支架植入手术。该手术结合 主动脉内球囊反搏(IABP)、血管内超声(IVUS)和震波球囊技术,成功开通严重钙化狭窄的血管,为患者带来新生。这一技术的成功应用,标志着我院在复杂冠心病介入治疗领域达到省内先进水平。
78 岁的张爹爹,因「反复胸闷 2 月、突发加重 11 小时」被紧急送往我院阳逻院区。入院检查心电图示心肌缺血,心脏彩超提示左心显著扩大伴收缩功能严重受损(射血分数低至 32%)。

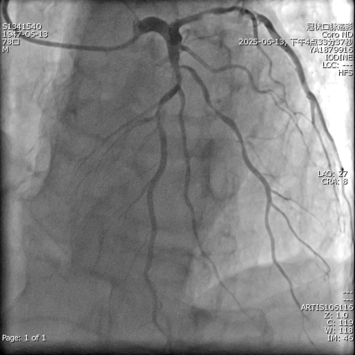
心内科团队积极抗心衰治疗,冠脉造影显示:患者心脏三支主要血管均严重狭窄病变,且伴有严重钙化。若不及时干预,患者随时面临心源性猝死的危险。然而,传统介入治疗风险极高,单纯药物治疗难以改善预后,救治面临巨大挑战。

面对这一高危病例,心内科团队经过充分评估,制定了周密的手术方案:
IABP 全程护航:术前置入主动脉内球囊反搏装置,稳定心脏功能,为手术保驾护航;

震波球囊「破壁」:采用震波球囊技术,通过精准释放冲击波有效碎裂深层钙化病灶,为支架植入开辟通路;
IVUS 精准导航:通过血管内超声实时引导,确保支架精准定位,完美贴合血管壁。



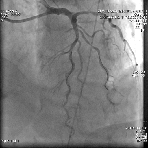
在团队紧密配合下,手术历时 2 小时顺利完成。术后患者血管恢复正常,症状明显改善,于 6 月 23 日康复出院。
我院阳逻院区将 IABP、IVUS 及震波球囊联合应用于复杂冠脉病变,突破了高龄、钙化、心功能差等多重禁忌,该技术的成熟开展,为长江新区及周边地区的高危冠心病患者提供了更安全、更有效的治疗选择,进一步提升了区域复杂心血管疾病的救治水平。
心血管内科主任李昌表示:「我们始终以患者为中心,通过技术创新和个体化治疗,让更多复杂病变患者重获『心』生。未来将继续精进技术,为守护群众心脏健康不懈努力。」
以技术为刃,以仁心为盾。我院心血管内科团队始终秉承「生命至上」理念,勇攀技术高峰,为百姓心脏健康保驾护航!
好文章,需要你的鼓励