

痛苦:病情加重,病因却成谜
50 多岁的招姨长期在美国工作。近 1 月来,她经常出现全身疲倦乏力的情况,随着时间推移,病情逐渐发展到四肢瘫痪、神志模糊。
为明确病因,招姨住院检查,但是除了查出低钾血症并没有查出病因,还被怀疑患有精神疾病,疑为精神过度紧张才诱发起病。招姨虽然半信半疑,但也只能补钾治疗,病情几度反复后逐渐加重,面部也出现了浮肿。


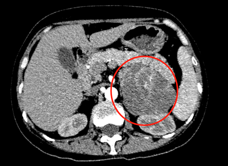
团队详细进行内分泌激素检测和功能试验,开展定性、定位检查,发现招姨存在典型的低血钾、高尿钾排泄、碱中毒、皮质醇显著增多,大小地塞米松功能试验均不被抑制。抽丝剥茧地查找病因,沈洁院长团队终于找到在左侧肾上腺长了 7 cm 的巨大肿块。
也正因为该肿块,造成了招姨的皮质激素异常分泌,进而导致顽固性低钾血症,并且该肿块 1 周内快速生长至 9 cm。
专业:发挥 MDT 优势,细致设计治疗方案
5 月中旬,沈洁院长带领内分泌与代谢科团队成员立刻联系泌尿外科、核医学科、放射科等相关科室组织多学科 MDT 讨论,分别从临床的诊断、影像学特征性改变、手术方式是否选择机器人微创效果更佳等方面进行深入讨论,充分发挥多学科 MDT 模式对疑难病例诊治的优势,为患者选择更优的诊疗策略,充分对肿瘤进行了风险评估,考虑该肿瘤恶性可能性大,进展快,有激素分泌功能,需要紧急手术切除。

专家一致认为,该肿瘤切除的手术风险极大,可能术中一牵动瘤体,立刻引起休克抢救,手术难度极大,为了使患者得到更好的治疗,顺德医院同道们与中山二院进行远程会诊,深入探讨手术方案,严格进行术前准备。
万幸:及时诊治,病情好转
最终,招姨在外院顺利地进行了机器人微创手术,病理确诊皮质癌,但因为及时诊治,肿瘤得到了完整切除,招姨的精神状态明显好转,也无再乏力,面容浮肿消退。
好文章,需要你的鼓励