险!女子被2厘米鸡骨卡喉——潍坊市人民医院耳鼻喉科医生小心取出鸡

作者:丁香园    2020-06-08
字体大小:

患者自诉 10 天前进食鸡肉时突感咽痛,自觉可能是误咽鸡骨,自行吞咽饭团试图将鸡骨咽下,不料咽痛越发明显,遂就诊于医院,经检查示:食管上端可见异物影。之前,患者于当地医院行电子胃镜检查:食管内未见异物。自以为异物下行,给予抗生素消炎治疗,后患者吞咽疼痛越来越重、不能进食。

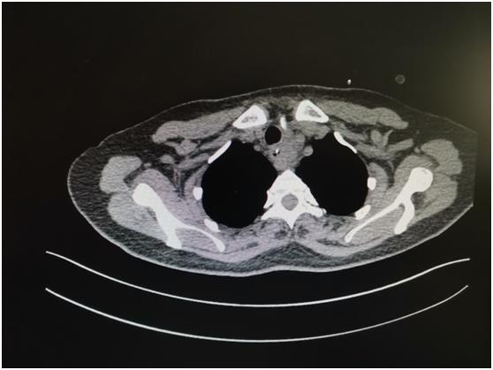
近日,患者来我院耳鼻喉科就诊,主任医师李学昌查看后嘱其立即行胸部 CT 平扫+强化,结果显示:食管上端见囊性影,大约 3.2 cm×4 cm,内见斜行条形高密度影及液气平面,增强见环形强化,此脓肿前位于气管后方,后至颈椎前方,上位于食管上端,锁骨水平,下至上纵膈。

 
李学昌考虑患者食管内异物、食管周脓肿、创伤性食管炎诊断明确,且发热 38℃、精神状态差,如果鸡骨头留在体内继续感染恶化的话,患者将失去最后的救治机会。病情危急,遂紧急收住院,经与科室主任医师苑铁君、主治医师陈尧详细讨论认为,根据之前电子胃镜及胸部 CT 检查,并结合普外科、胸外科专家的意见,考虑行颈部入路取出鸡骨。
 
医生小心取出鸡骨 化险为夷
 

李学昌、陈尧向患者及家属解释患者目前病情危急,感染加重随时可能出现纵膈感染甚至感染性休克,需要急诊手术取鸡骨,并解释手术方式及可能出现损伤喉返神经引起声嘶、损伤大动脉引起大出血等严重并发症,患者及家属表示理解,给予安排手术。手术由头颈外科手术经验丰富的陈尧主刀,于胸骨上窝一横指处颈部正中作横行切口,分离出左侧喉返神经,分离出甲状腺下级,分离出气管后壁、食管前壁,仍未发现脓肿,考虑可能位于食管后壁,继续探查食管周围,于食管后方发现脓肿,抽出约 15 ml 黄绿色脓液,臭鸡蛋味,于脓肿腔内发现约 2 cm 长鸡骨一块(如图)。冲洗脓腔,放置引流管,关闭术腔。

 
该患者术后感染无扩散,给予插胃管鼻饲饮食,术后第 4 天复查胸部 CT:食管周围未见感染扩散。目前,患者已康复出院。
 
 
鸡骨、鱼刺卡喉,切勿强吞
 
李学昌表示:出现鱼刺卡喉,很多人第一反应是吞饭、咽菜,但这些「土办法」其实很危险。因为,在压力作用下可能使鱼刺、鸡骨穿透食道壁,也可能刺入肺、主动脉、心脏,会危及生命。
 

专家提醒:出现鱼刺、鸡骨卡喉后,应立即停止进食。第一时间去医院就诊!

 

图片来源:潍坊市人民医院

 

 

 

 

编辑: dxy_m4jq72c8    来源:潍坊市人民医院

潍坊市人民医院始建于 1881 年,是山东省建立较早的医院之一,现已发展成为集医疗、教学、科研、防保为一体的综合性医院,担负着潍坊市 935.7 万人口及周边地区群...