人生就像一场无法预知的旅程,当命运的风暴突然袭来,我们往往会被卷入恐惧与绝望的漩涡。疾病,就是那最无情的风暴,它不仅侵蚀着身体,更摧残着心灵。然而,总有一些温暖与希望,如同黑暗中的明灯,能指引我们穿越阴霾,重新拥抱阳光。
在美中爱瑞向日葵陪伴计划中,每一个故事都诉说着生命的坚韧与爱的力量,今天,让我们走进小美的故事,见证那份重新拥抱希望的喜悦。
36 岁的小美(化名),曾经是国际学校里备受学生喜爱的老师,她的脸上总是带着甜美的笑容,拥有着美满的家庭和两个可爱宝宝的她觉得自己是世界上最幸福的人。
然而,命运却在 2024 年初和她开了一个残酷的玩笑。不知从何时起,她的左手开始时不时地抖动,左眼也渐渐模糊,起初,她只以为是连日劳累,想着休息休息便会好转。可谁能想到,这竟是噩梦的开端。
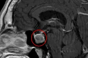
在医院做完一系列检查后,「脑胶质瘤」这个冰冷的诊断结果,如同一记重锤,将她打入了绝望的深渊。
确诊后的小美,踏上了漫长的求医之路。
她来到了美中爱瑞肿瘤医院。刚入院的小美,就像一个失控的「火药桶」,行为反常极了。一会儿吵着要吃药,一会儿急切地找医生治疗,一会儿又陷入极度的绝望,哭喊着不想活了,甚至连医生安排的核磁检查都拒不配合。她的反常不仅折磨着自己,也让家属心力交瘁。
细心的李琳护士长了解到小美的情况和家属的无奈,帮助他们找到了美中爱瑞向日葵陪伴计划的心理志愿者,希望能为小美带来一丝曙光。
一个温暖的午后,阳光透过窗户,温柔地洒满洽谈间的每一个角落,仿佛在传递着无声的安慰。坐在轮椅上的小美被推进来,她眼神空洞,焦躁不安地扭动着身体,对眼前的两位心理志愿者毫无兴趣,双眼无力地低垂着。就在这时,志愿者朱老师轻声说道:「你知道吗?我和你一样也是一位患者,而且我的眼睛完全看不到。」
这句话,如同在黑暗中突然亮起的一盏灯,瞬间吸引了小美的注意。她猛地抬起头,用未被影响的右眼,直直地盯着朱老师,眼中满是难以置信,仿佛在说:「真的吗?这怎么可能?」朱老师温柔的目光,恰似冬日里的暖阳,小美这才发现,眼前的朱老师手中握着白色的手杖,身上那件黄色的马甲,就像一朵在阳光中肆意绽放的向日葵,温暖又充满力量。朱老师没有说教,没有责怪,只是安静地倾听,给予小美全然的接纳,那一刻,小美的心防悄然松动。
从那以后,每个星期四的下午四点,成了小美和向日葵志愿者老师们的专属时光。志愿者老师们陪着小美做正念呼吸训练,引导她在一呼一吸间,平静内心的波澜;带她漫步公园,感受阳光轻抚脸颊的温暖,聆听鸟儿欢快的歌声,细嗅春草与春花的芬芳,让她重新发现生活中那些被忽略的美好;还耐心地教她重新使用手机,从发微信到打电话,每一个小小的操作,都充满了关爱与鼓励。当小美在志愿者老师的帮助下,第一次成功打开聊天软件时,她的脸上绽放出了久违的灿烂笑容,那笑容里,满是对生活重新燃起的希望。
时光缓缓流淌,两个月的放疗即将结束。小美的身体状况也发生了惊人的变化,从只能依靠轮椅度日,到慢慢能够自己站立,再到可以扶着墙走上几步,每一个微小的进步,都如同夜空中闪烁的星辰,照亮了她康复的道路,也让她对未来充满了信心。而向日葵志愿者老师们的陪伴,就像绚丽的色彩,为小美这枯燥又艰难的治疗日子,绘就了一幅幅温暖的画卷。

5 月 9 日,这是一个值得铭记的日子,小美完成了所有的放疗,即将出院。向日葵志愿者朱学元老师和护士牛雪清代表团队,为小美送上了真挚的出院祝福。他们还尊重小美的意愿,帮助她与其他病友建立了联系,搭建起了患友互助的桥梁。
人生的道路从来都不是一帆风顺的,疾病的阴霾或许会暂时笼罩我们的生活,但只要心中有希望,身边有温暖,就没有跨不过去的坎。小美在美中爱瑞向日葵计划的陪伴下,从绝望的深渊一步步走向了希望的彼岸。这份温暖的陪伴,不仅治愈了她的心灵,更为她的康复注入了强大的力量。
愿每一个在困境中挣扎的人,都能如小美一般,遇见属于自己的「向日葵」,在爱的包围中,向阳而生,绽放出最绚烂的生命之花。
好文章,需要你的鼓励