北京一脉阳光医学影像诊断中心

北京一脉阳光医学影像诊断中心

人气492326
获赞40

北京一脉阳光医学影像诊断中心有限公司,是一脉阳光影像医院集团全资子公司。一脉阳光由多名中国医学影像行业精英于2014年投资创建,是一家专业从事医学影像中心投资运营、医学影像云平台技术开发、医学影像人才培养、医学影像产业链服务的影像医院集团,核心业务 包括影像中心服务、影像赋能解决方案、一脉云服务。 截至2022年12月31日,一脉阳光已在全国拥有近90家影像中心,覆盖全国16个省/自治区/直辖市,日均检查量约1.5万人次。除了自有的医疗专业团队(主执业医生逾220名)外,一脉阳光还吸引了业内近千余位知名影像专家共同合作,为患者和医疗机构提供优质影像检查服务,为行业培训优秀医技人才,助力国家医改,落地分级诊疗。我们重视影像科技的创新应用,影像云业务已取得113项软件著作权,申请4项发明专利,与多家AI公司深度合作,签约了近百名国内医学影像各亚专业的知名专家,提供疑难病例诊断咨询和多学科诊断咨询服务,利用科技创新驱动行业发展。同时,我们也注重客户的数据安全及隐私,目前我们的信息架构已获得国家信息系统安全等级保护三级备案证明,并通过ISO 27001、ISO 27018认证。 作为中国第三方医学影像中心的开拓者、引领者,一脉阳光始终以“医学影像服务”为核心,坚持科技创新和模式创新,打造医学影像全产业链服务平台,服务整个医学影像行业。

  • 关注
  • 机构介绍
最新关注
医疗关注
医院活动
学科建设
健康患教
先进人物
医院文化
爱心公益
国考成绩

走出国门,筑梦健康 | 一脉阳光马拉维 IBCC 项目成功交付,海外战略迈出坚实一步

2025-12-31

护航青春,照亮心灵 | 一脉阳光中标省级课题,助力青少年抑郁症精准诊疗研究

2025-12-31

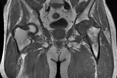
典型病例 | 一位 68 岁老人的股骨头「塌陷」之谜

2025-12-31

一脉阳光+影禾医脉入选 2025《AI+医疗健康产业应用图谱》

2025-12-24

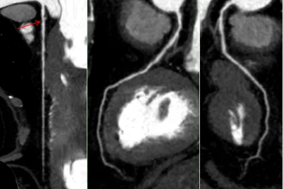
典型病例 | 一位八旬老人的心脏「路况」报告与影像解密

2025-12-24

遂川影像中心 | 以赛促学强本领,砺能笃行谱新篇

2025-12-24

AI 为翼,影像为媒 | 领航产业数智化新章程

2025-12-23

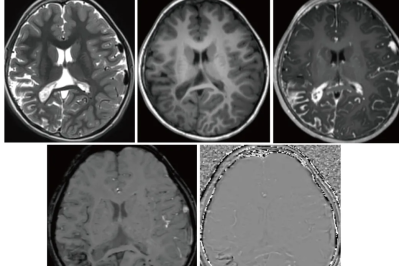
典型病例 | 隐匿的「癫痫元凶」:影像如何揭开节细胞胶质瘤的面纱

2025-12-16

筑牢安全防线,提升应急能力 | 古田影像中心开展护理安全与风险防范专项培训

2025-12-16

以专业守护健康,用温度点亮童年 | 一脉阳光南昌中心倾情护航卡奇顿幼儿园亲子运动会

2025-12-16

品牌指数

2026.01.05 至 2026.01.11
36.44 医院品牌指数
1599994 综合排名
查看趋势详情
最佳品牌传播医疗机构