患者,男性,42 岁,主因「右膝外翻畸形截骨矫形术后 6 天,入院康复治疗」入院。既往糖尿病史 2 年余,曾于 2021 年 05 月 28 日在应急总医院因「左膝外翻畸形」行「左股骨截骨矫形术」。
入院查体:左膝前内侧可见一长约 12 cm 纵行手术瘢痕,愈合良好。右膝前内侧可见一长约 13 cm 纵行手术切口,切口皮缘对合好,无发红及渗出,周围组织无明显肿胀,皮温可,无明显压痛,切口敷料清洁、干燥,覆盖良好。
肌围度:右髌上 10 cm 处 41.5 cm、髌下 10 cm 处 30.5 cm,左髌上 10 cm 处 41.4 cm、髌下 10 cm 处 31 cm。双膝关节活动度:右膝主动屈伸-10~80°、被动屈伸-10~91°,左膝主动屈伸-10~100°、被动屈伸-10~108°。双髋关节、踝关节及各趾间关节活动可。
双下肢各肌肌力、肌张力尚可。双侧腱反射对称(++)。双侧巴氏征(-)。双侧腘动脉、足背动脉搏动良好。日常生活能力评定 Barthel 指数量表:35 分。
诊断:
1、右膝外翻畸形截骨矫形术后恢复期
2、左膝外翻畸形截骨矫形术后
3、2 型糖尿病
影像学检查


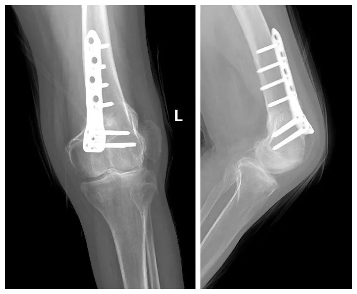
双膝关节 X 线片示:
右膝外翻畸形,截骨矫形术后,右侧股骨下端断端对位、对线良好,骨折线尚较清楚。内固定钢板及螺钉未见松动、断裂。右侧髌骨完全脱位,偏向外侧,髌骨关节面粗糙。
左膝外翻畸形截骨矫形术后:内固定器在位良好,骨折断端可见骨痂及愈合征象,髌骨位于股骨外前方,股胫外侧间隙变窄,股骨下角约 83°。
康复评定
(2021-10-26 右膝关节外翻截骨矫形术后)
1. 右股骨截骨术后, 双下肢运动功能障碍。
2. 关节活动度方面: 右膝关节主动屈曲 80 度受限, 右膝关节被动屈曲 91 度受限, 右膝关节主动伸展-10 度受限. 左膝关节主动屈曲 100 度受限, 左膝关节被动屈曲 108 度受限. 左髋关节内旋 0 度受限. 右髋关节内旋-15 度受限。
3. 肌肉力量方面: 右膝关节伸展肌群肌力为 3 级, 右膝关节屈曲肌群肌力为 3 级. 左膝关节伸展肌群肌力为 4 级, 左膝关节屈曲肌群肌力为 4 级. 右髋关节及左髋关节内外旋肌群肌力为 3 级. 右髋关节内收及外展肌群肌力为 3 级. 左髋关节内收及外展肌群肌力为 4 级. 左髋关节及右髋关节前屈及后伸肌群肌力为 4 级 (徒手肌力检查)。
4. 右膝关节肿胀: 伸展位髌周围度测量 L/R 为 40.8/41(cm), 髌上 10 cm 处围度测量 L/R 为 41.4/41.5(cm), 髌下 10 cm 处围度测量 L/R 为 31/30.5(cm)。测得术前右髌周围度为 38 cm。
5. 双下肢不等长: 测得髂前上棘至内踝 L/R 为 78/77(cm.)
6. 平衡方面: 坐位平衡 2 级, 无立位平衡。
7. 膝关节 HSS 评分: 为 52 分, 等级评价为差。
8. 日常生活能力方面: 改良 Barthel 指数评分为 35 分, 为严重功能障碍。
9. 沟通, 交流有障碍。
生活自理, 患者能自己照顾自己,患者能独立写自己的名字。
1. 双侧髌骨脱位
2. 沟通交流障碍
3. 血糖高且不稳定
4. 无规律睡眠
一、长期目标
作业治疗: 回归家庭, 生活自理
物理治疗: 立位平衡 3 级, 独立步行, 独立上下楼梯
二、短期目标
作业治疗:
1. 独立书写自己的名字
2. 独立完成刷牙, 洗脸, 修饰, 转移等训练
物理治疗:
1. 辅助下站立
2. 扩大关节活动度
3. 增强四肢肌力
作业治疗
1. 交流及表达能力训练: 使用卡片学习简单的文字并书写;
2. 肌力训练: 患者手持哑铃或双上肢绑沙袋进行负重训练, 如磨砂板, 套圈等;
3. 日常生活能力训练: 穿脱裤子, 加强轮椅与坐便器之间的转移活动等;
4. 坐位平衡训练: 坐位下抛接球训练等。
物理治疗
1. 维持并扩大关节活动度训练:CPM 机训练, 主被动活动度训练等;
2. 增强四肢肌肉力量训练: 帕维尔训练, 沙袋渐进性抗阻训练等;
3. 负重训练: 踩称训练, 重心转移训练等;
4. 平衡能力训练: 坐位平衡训练, 站立训练, 体操训练, 立位抛接球训练等;
5. 站立+步行能力训练: 使用助行器站立及步行, 使用单拐步行, 独立步行等;
6. 协调性训练: 康复踏车训练, 四肢联动训练等;
7. 日常生活能力训练: 穿鞋训练, 穿袜子训练, 如厕训练等;
8. 理疗: 冰敷 (根据患者皮温实际情况进行);
9. 预防并发症的产生: 踝泵训练, 抬高患肢等。







此病例中的难点在于如何与患者进行沟通交流。在语言无法进行有效沟通的时候, 治疗师可以选择其他方式, 例如治疗师在做康复训练时, 会调整训练方案,选择简单的动作或通过「比划」的方式让患者理解, 其次调动康复的积极性也很重要, 多采用「有趣」的训练方式,提高患者的认知能力,使得患者能较好地接受康复治疗指令,达到期望的康复治疗效果。
在关注患者病情时, 我们也要关注家属的情绪。长时间的「封闭式」照料亦会使家属产生焦虑情绪, 进而产生病人与家属的相互影响以至影响康复进程。
此时康复师发挥的作用不仅仅局限于传统的康复方案, 我们去帮助调整患者以及家属的心态也很重要, 在此过程中也可增加彼此的信任, 使康复有序进行。
最初患者和家属的愿望是生活自理,可以写自己的名字,经过十个月的康复训练,患者从日常生活评分 35 分需要大部分帮助到现在 95 分,生活完全可以自理,自己的名字也可以非常熟练地写出来,达到非常满意的康复效果。
好文章,需要你的鼓励