正畸博士后札记
诊灯亮起时
我看见的不是牙齿
是被挤压的呼吸通道
被错误吞咽姿势扭曲的脸型
被骨缝过早闭合锁死的生长潜力
——有些遗憾
12 岁后已无法用温柔的方式解开


苏州京东方医院口腔科主任、主任医师李宁博士(硕士生导师),从医 26 年,以她丰富的经验为家长们敲响牙齿不齐的警钟。
真相一:
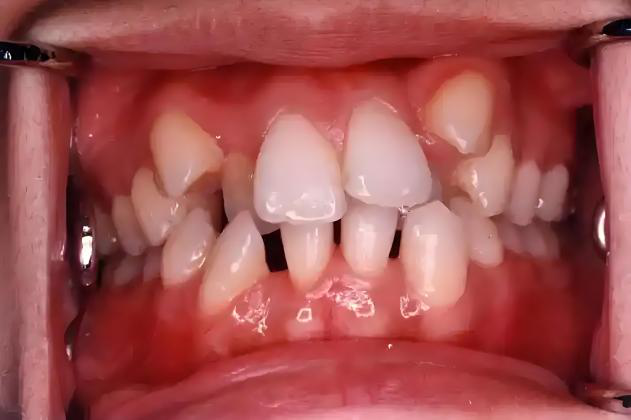
牙齿是受害者,颌骨是案发现场

当孩子总咬铅笔、睡觉张嘴。
这不是坏习惯,是颌骨缺氧的求救。
舌头顶不住上颚?上颌骨就失去支撑的脚手架。
家长自查:孩子门牙缝过大?可能是颌骨发育停滞的早期预警。
真相二:
黄金期不用力,后期需拼命

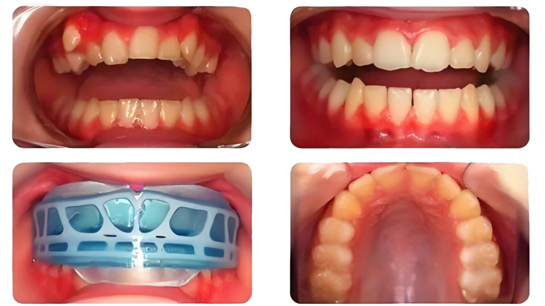
6-12 岁颌骨如湿粘土,MRC 轻轻塑形;
15 岁后变硬陶,钢钉骨劈才能改建。
我们争的不是牙齿缝隙,是毫米级的呼吸空间。
真相三:
干预的本质是解放

不是「整牙」,是解除口呼吸枷锁,
不是「矫治」,是归还舌头的本位。
当孩子学会用鼻腔呼吸的夜,
血氧浓度仪会画出更平缓的曲线。
最恳切的建议
1. 抢在骨缝闭合前
孩子换第一颗恒牙时(约 6 岁),
带 TA 看一次正畸医生,
5 分钟颌骨触诊,胜过三年后 50 次复诊。
2. 观察比焦虑重要
孩子啃苹果时,看是否门牙撕扯(异常),
孩子大笑时,看牙龈暴露量>2 mm(警报),
这些信号比成绩单更需您签名确认。
3. 把训练变成游戏
「舌尖找小房子」训练,每天 3 次×1 分钟,
奖励不是糖果,是未来少拔一颗牙的豁免权。
「作为医生,我渴望失业,
当所有孩子颌骨自由舒展,
牙齿如森林自然生长。
在还有机会温柔的年纪,
别让钢筋骨钉成为成长的注脚。」
——李宁
编辑 | 鞠娜
责编 | 张晶
审核 | 李仲娟
好文章,需要你的鼓励