女性,56 岁,腹膜后肿物切除术后 6 月余。术后病理:未分化多形性肉瘤。术后口服靶向药,无放疗、化疗。
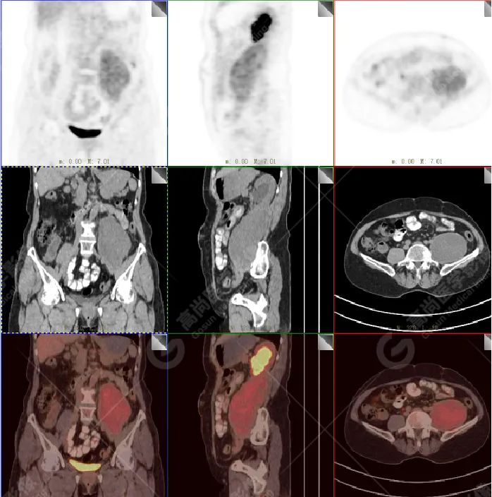
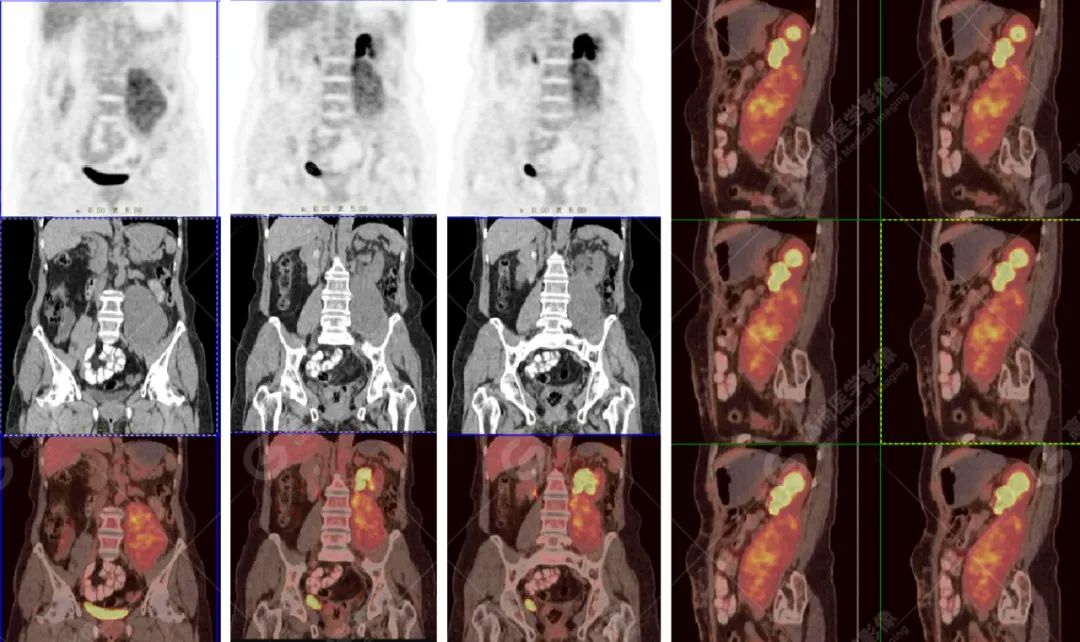
现复查提示术区肿瘤复发。





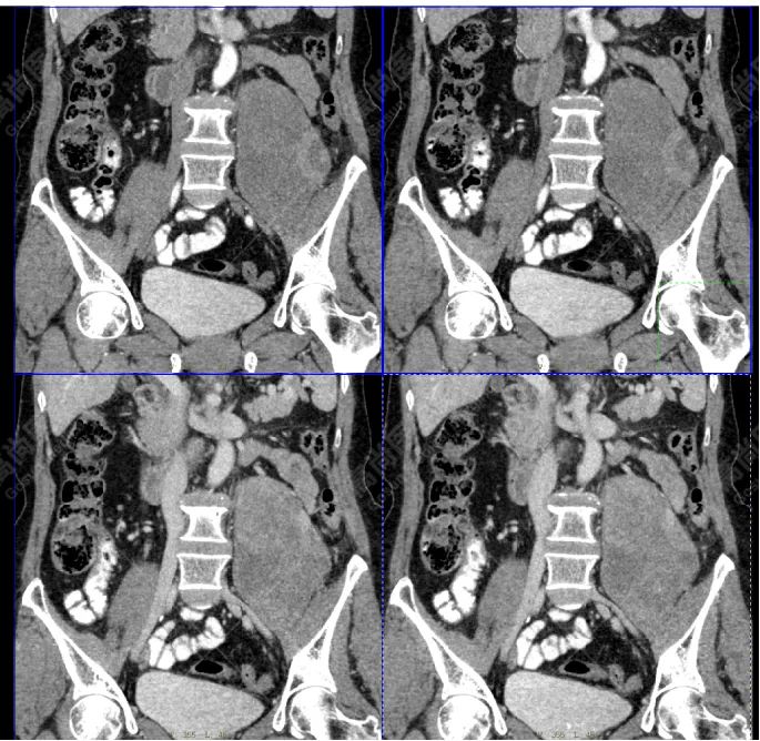
影像所见:左腹膜后间隙(原术区)见一长椭圆形软组织密度肿块影,范围约 8.0 cm×6.6 cm×15.8 cm,CT 值 30 Hu,FDG 高摄取,SUVmax5.0,考虑肿瘤复发,侵犯相邻左侧输尿管、腰大肌、后腹壁。
盆腔内(直肠右旁)见一转移性淋巴结,FDG 高摄取,SUVmax7.7。

增强扫描肿瘤不均性中度强化,动、静脉期 CT 值:41 Hu、72 Hu(平扫 CT 值 30 Hu)。
系来源于腹膜后间隙的间叶组织(如纤维、脂肪、肌肉、血管等)、神经组织、以及胚胎和泌尿生殖残留组织,病理类型繁杂,由于肿瘤部位较深,又有一定扩展空间,发病初期往往无明显症状,随着肿瘤增大,压迫或侵及周围脏器时才发现。
影像表现
CT 表现:大多数呈类圆形或不规则形,平扫大多数呈低密度,边界不清,内部密度不均匀,可见更低密度囊变坏死区,钙化非常少见。
增强扫描:肿瘤强化呈多样性,大多呈不均匀中度明显强化。
PET 表现:FDG 高摄取。
腹膜后间隙是一个以腹后壁壁层腹膜(后腹膜)为前界,腹横筋膜为后界,上起横膈,下达盆腔的立体间隙。分为肾旁前间隙、肾周间隙和肾旁后间隙。
肾旁前间隙:是位于后腹膜与肾前筋膜、侧锥筋膜之间的区域,包括升、降结肠,十二指肠和胰腺。肾周间隙:是位于肾前筋膜与肾后筋膜之间的区域,包括肾、肾上腺及其周围脂肪。肾旁后间隙:是位于肾后筋膜、侧锥筋膜与腹横筋膜之间的区域,内部为脂肪组织,无脏器结构。

未分化多形性肉瘤(UPS)既往被称为恶性纤维组织细胞瘤(MFH),是指没有任何特异性分化方向的高级别肉瘤,是软组织肉瘤中很常见的一种类型。
好发于四肢、头颈部和腹膜后间隙,位置较深,肿瘤级别高,恶性程度高,术后易复发,无典型的影像特征。
广泛完整的外科切除是该病主要的治疗手段。
临床表现为肿块、疼痛及压迫症状,早期可有血行转移,术后易复发等特点。
2002 年 WHO 软组织肿瘤分类,按重新定义后的未分化多形性肉瘤分为三种组织学亚型,分别为:①高级别 UPS/未分化高级别多形性肉瘤;②巨细胞 UPS/伴有巨细胞的未分化多形性肉瘤;③炎症性 UPS/伴有显著炎症的未分化多形性肉瘤。
高级别 UPS:为多见类型,大多发生在四肢 (尤其下肢),其次腹膜后,大多位于深部 (筋膜下方) 软组织。影像上呈边界不清的类圆形或不规则团块状肿物,无明显包膜;肿瘤内常伴坏死、囊变,病灶实性部分呈等低混杂密度;增强扫描肿瘤实性部分呈中度不均匀强化。
镜下显示是一类有多种结构和细胞形态的异质性肿瘤,有的有明显的纤维性基质,无明显包膜。巨细胞 UPS:大多发生在肢体或躯干深部软组织的较大肿物,CT 呈等或稍低密度,境界模糊,密度不均匀,常含有低密度的坏死灶;增强扫描呈轻微不均匀强化。
镜下见不同程度的高级别椭圆形至梭形细胞以及间质有明显的破骨性巨细胞反应,常伴出血、坏死;肿块可向周围侵犯邻近的神经、血管。
炎症性 UPS:在病理上是有明显组织细胞和炎症细胞浸润的未分化多形性肉瘤,目前对此型肿瘤分化的了解仍很少,其形态既有间叶性肿瘤,又有上皮性肿瘤的特点,有完整包膜,边缘不规则,与周围有粘连,镜下含有大量良性和恶性黄瘤细胞、非典型性梭形细胞和急、慢性炎症细胞。
高级别 UPS 及巨细胞 UPS 肿块较大、生长较快,巨细胞 UPS 肿块常见出血、囊变;炎症性 UPS 较少见、不典型。
对于四肢肌肉深部、腹膜后肿瘤,边缘呈卵圆形或体积较大分叶状或有大片液化坏死的囊实性肿块,瘤周有或无水肿带,周围组织受侵,增强扫描肿块实质呈轻、中度强化。结合患者好发年龄,病程进展较快,临床出现局部疼痛或功能障碍等表现,可以提示 UPS 可能。
由于 UPS 组织形态学的复杂性,尤其少见部位影像学表现多样,最终需术后病检并结合免疫组化来确诊。
PET/CT 检查可以全面了解肿瘤病灶范围,周围组织结构有无侵犯累及,其他部位有无转移。
作者简介

成蕾 主治医师
原就职于湖北荆州医院放射科,从事医学影像工作 8 年,完成国家住院医师规范化培训,参与过肺结节 MDT 和肺癌早期筛查工作,曾进修于武汉协和医院,参加过全国放射医师学会、省级放射学会、读片组会和全国住培影像技能大赛等学术会议。
擅长:熟悉全身 PET/CT 诊断,尤其对肺部、乳腺常见病、疑难病例有一定的临床经验和研究。
好文章,需要你的鼓励