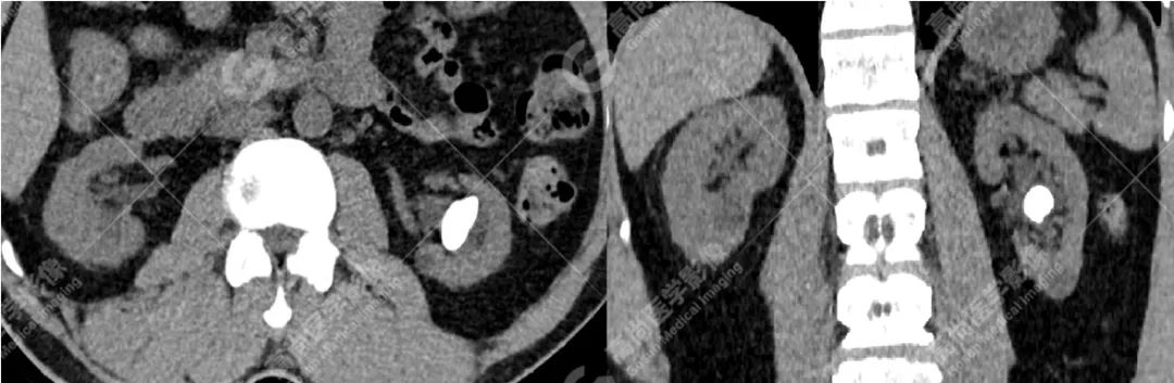
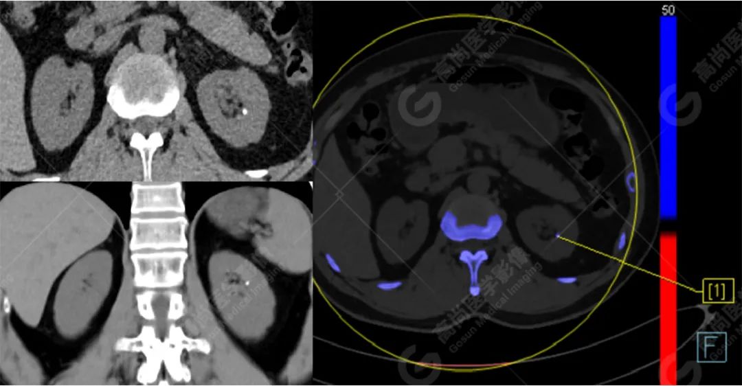
病例一病史摘要患者左肾结石,双能量 CT 结石分析示其主要成分为羟磷灰石。病例二病史摘要:患者左肾小结石,双能量 CT 结石分析示其主要成分为草酸盐。病例三病史摘要:患者左输尿管膀胱入口处小结石,双能
病例一
病史摘要
患者左肾结石,双能量 CT 结石分析示其主要成分为羟磷灰石。



病例二
病史摘要:
患者左肾小结石,双能量 CT 结石分析示其主要成分为草酸盐。


病例三
病史摘要:
患者左输尿管膀胱入口处小结石,双能量 CT 结石分析示其主要成分为尿酸。



泌尿系结石概述
泌尿系结石是尿路常见疾病,临床表现具有多样性,腰痛和血尿是常见的典型症状,严重者可引起急性肾盂肾炎、败血症以及终末期肾病。
影像检查
CT 平扫因其安全性和高度敏感性已成为评估泌尿系结石的标准检查方法。而双源 CT(dual-source computed tomography,DSCT)在一次扫描过程中能够同时进行低能量和高能量扫描,使其拥有能够对电子密度相同但光子吸收能力不同的结石进行鉴别的能力。
计算感兴趣区结石在低能量和高能量原位扫描下的衰减值比值(AR 值),与体外结石的已知化学成分的 AR 值进行对比,因此得到体内结石的化学成分。(此步骤在工作站进行,如上成分标识图)
治疗方法
泌尿系结石总体治疗原则是解除痛苦、解除梗阻、保护肾功能、有效去除结石,其中,保护肾功能是结石治疗的核心。结石因不同大小、性质、部位等因素会对人体产生不同的危害,而不同性质的结石所采用的治疗方案均有所不同。
如胱氨酸结石、草酸钙结石及钙磷石,因脆性差,体外冲击波碎石效果不佳,往往需要经皮肾碎石。系统性或者家族性的代谢性结石往往含有某种特定成分,可以通过特异性饮食或者药物来治疗或减少结石的复发,如尿酸结石。
近年来,体外冲击波碎石术(extracorporeal shock wave lithotripsy,ESWL)已成为治疗泌尿系结石的首选方法,不同性质的结石其硬度及易碎程度均有所不同,所选择的冲击波强度亦可进行相应调整,因此 ESWL 前初步识别出结石的成分对于合理调节冲击波能量、减少体外碎石并发症、保护肾功能具有重要意义。
*声明:本内容仅代表文章来源方观点,不代表本站立场。本内容仅供医学药学专业人士阅读,不构成实际治疗建议。
好文章,需要你的鼓励