患者男性,63 岁;
主诉:体检发现肺部结节 4 天;
现病史: 患者近期体检,胸部 CT 检查发现肺部占位,平素体健,偶有咳嗽,无咳痰、咯血、胸闷、胸痛、呼吸困难、消瘦、发热、纳差等不适。
既往史:高血压病史 10 余年,口服药物控制可;
既往有胃溃疡病史 6 年;
抽烟史 20 余年,平均 1 包/天,偶少量饮酒。
痰培养: 检出革兰阳性球菌。
PPD 试验: 强阳;T-SP0T:阳性。
肺泡灌洗液细菌培养: 肺炎克雷伯氏菌;抗酸杆菌阴性。
纤维支气管镜检查脱落细胞学 (纤支镜刷检) 送检片 3 张:镜见纤毛柱状上皮细胞增生活跃,未发现恶性细胞。








1、单一肺内病灶最主要是判断病变的性质,虽然比较像肿瘤,但仔细看病变内除了有支气管充气影,还有气泡影,病变局部边缘也有点模糊,因此这个炎症(脓肿)是有可能的,这个人肺泡灌洗出现克雷伯杆菌,结合病史那克雷伯肺炎(脓肿)是有可能的。
2、真菌感染
3、肺腺癌
4、PPL 肿块型是有可能,内支气管扩张伴僵硬?
5、考虑肺腺癌
6、支持腺癌
7、MALT 有可能,代谢上比较符合,病灶境界较清楚,周围还算干净,渗出不明显,支气管局部狭窄,患者无明显症状,就是 PPD 试验强阳不知怎么解释,不会是两者合并存在吧。
8、肺部病灶内部分高代谢灶定位于结节样稍高密度影,大多数高代谢灶以气体密度影为中心,考虑肺 Ca 并感染。
9、孤零零一个病灶,主要围绕气管生长,所示支气管基本通畅。有钙化,病灶整体密度偏高,病灶周围有少许磨玻璃,总体感觉偏向感染性病变,或者在已有病变 (如淀粉样变性什么的 (的基础上发生的感染,具体什么感染,结合临床,不象常见的,真菌放线菌等少见的要考虑下。
10、支气管迂曲扩张,考虑肺腺癌。
11、肺淋巴瘤?
12、没有临床症状,单看影像,不看实验室检查结果的话,是比较像肺 MALT 的。
CT 引导下经皮肺穿术: 病理 (肺穿刺物) 送检;
灰白穿刺条,长 0.5 cm,0.7 cm,径 0.1 cm;镜检条索状组织中见淋巴样,细胞弥漫性浸润,细胞小至中等大小,胞质透亮,核形不规则,可见淋巴上皮病变及滤泡植入现象;
免疫组化标记结果:
CD20(+),Pax-5(+),CD3(-),CD5(-),CyclinD1(-),
CD21(部分+),CD23(FDC+),CKpan(上皮+)CD10(-),
CD43 (+),Kappa(部分+),Lambda(-),Ki-67(+,约 7%);
诊断为:(肺) 黏膜相关淋巴组织结外边缘区淋巴瘤 (MALT 淋巴瘤)。
起源于支气管相关淋巴组织低度恶性小 B 细胞淋巴瘤;
属于非霍奇金淋巴瘤;
属于原发性肺淋巴瘤。


命名:
1963 年 Salzstein 首次提出了肺假性淋巴瘤的概念;
1973 年 Brienenstock 等首先描述肺粘膜相关淋巴瘤 Mucosa-associated lymphoid tissue lymphoma (MALT)。
性别: 男: 女 = 1.4:1
年龄: 中老年人,50-60 岁多见
症状、体征
无特异性;
咳嗽、咳痰、咯血等呼吸系统症状;
少有全身症状。
预后
取决于主导的淋巴细胞类型及疾病的阶段;
大多数为低度恶性、发展缓慢如有转移,需放化疗;
预后明显好于肺癌。
03 病理特征
淋巴细胞浸润及向间质扩张、压迫邻近淋巴滤泡;
粘膜相关淋巴组织的边缘区 B 细胞淋巴瘤;
▶淋巴上皮病变
▶反应性滤泡
▶边缘区细胞或/和单核细胞样 B 细胞
▶小淋巴样细胞
▶浆细胞
▶散在分布的转化母细胞
☆中心母细胞
☆免疫母细胞样细胞




▶结节肿块型
▶肺炎肺泡型
▶支气管血管淋巴管型(间质型)
▶粟粒型
▶混合型





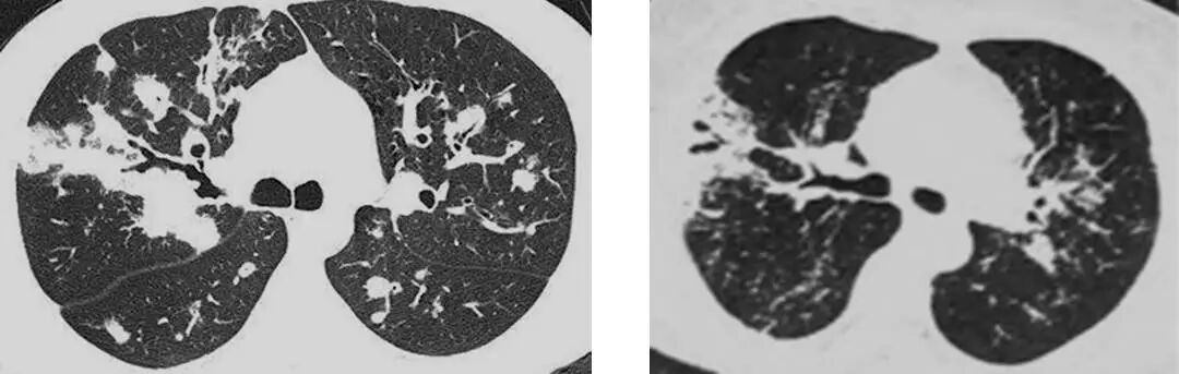
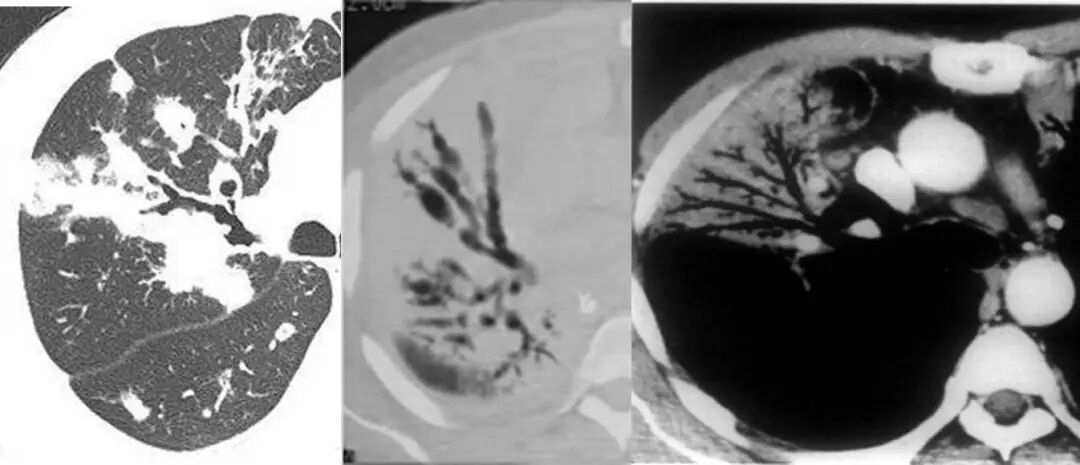
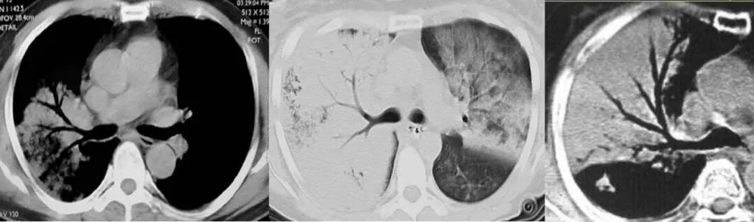
MALT 的支气管扩张并无支气管管壁的破坏。由于淋巴瘤组织浸润导致肺泡塌陷,支气管周围实质破坏造成的,这类支气管扩张在肿瘤治疗后有时可消失。


●空洞
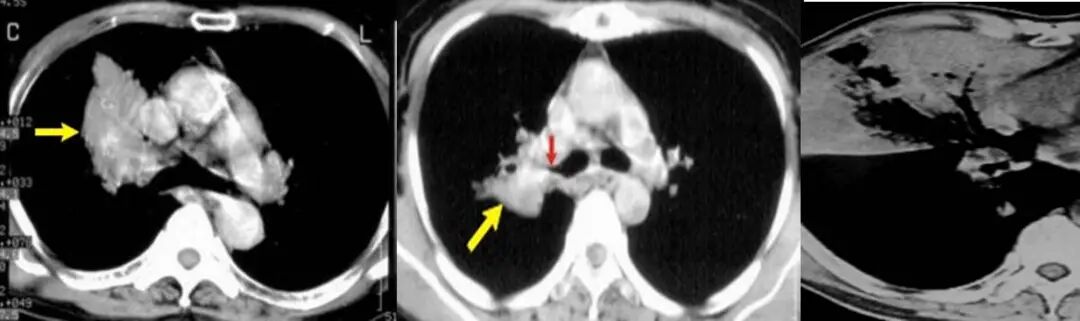
●胸腔积液
●肺门及纵隔淋巴结增大
▼继发性肺淋巴瘤
▼支气管肺癌
▼大叶性肺炎
▼肺曲霉菌病
继发性肺淋巴瘤


支气管肺癌
▶肺内单发结节或肿块
▶多伴有纵隔、肺门淋巴结肿大
▶可见支气管阻塞
▶充气支气管管径正常,管壁破坏


大叶性肺炎
临床症状:高热,咳嗽,咳铁锈色痰;
白细胞总数及中性粒细胞增高 ;
肺段/肺叶分布,片状实变影;
充气的支气管管径、形态均正常。


肺曲霉菌病

以胸膜为基底的楔形实变影;
充气支气管常属于正常管径范围。



肺粘膜相关淋巴瘤
结节、肿块,边缘模糊
充气支气管粗大、扭曲
继发性肺淋巴瘤
肺内网状结节性病变
多有胸外淋巴瘤病史,纵隔淋巴结肿大
支气管肺癌
肺内单发结节或肿块
支气管阻塞,充气支气管管径正常,管壁破坏
大叶性肺炎
临床症状明显
充气的支气管管径、形态正常
肺曲霉菌病
空洞,空气新月征,晕征,反晕征
充气支气管常属于正常管径范围
代谢活性特点:MALT 淋巴瘤作为低度恶性肿瘤,FDG 代谢常呈轻度至中度增高,SUVmax 范围多为 2.6-8.3(中位约 6.0),低于侵袭性淋巴瘤类型。
鉴别诊断价值:PET/CT 全身成像有助于区分原发性肺淋巴瘤与继发性肺部受累,且显示大多数肺部 MALT 淋巴瘤病灶存在 FDG 放射性摄取增高,但需注意与其他可导致放射性浓聚的肺部疾病(如肺癌、炎症、结核等)鉴别,需密切结合 CT 影像特征。
以下是肺部 MALT 淋巴瘤 PET/CT 典型表现的总结表格:

肺粘膜相关淋巴瘤罕见。
下述情况需想到肺粘膜相关淋巴瘤:
▼病程长,一般长达 2~5 年,发展极缓慢;
▼老年多见,男性多于女性;
▼无症状或咳嗽、咳痰、胸痛者结节、肿块或实变病灶;
▼伴有空气支气管征充气的支气管粗大、扭曲;
▼肺门及纵隔淋巴结肿大 •无胸膜增厚及胸腔积液。
参考文献:
[1]. 原发性肺黏膜相关淋巴组织淋巴瘤的 18F-FDG PET/CT 影像学表现. 百度学术, 2025.
[2]. 体检发现右肺下叶团片影,PET/CT 诊断肺 MALT 淋巴瘤. 健康界, 2023.
[3]. 久治不愈的肺炎,竟是淋巴瘤,PET/CT 显像寻找真凶. 健康界, 2023.
[4].7 例原发肺黏膜相关淋巴组织淋巴瘤的临床分析. 临床肿瘤学杂志, 2016, 35(03): 210-215.
[5]. 丁晶晶, 曹敏, 刘寅, 等. 以弥漫性病变为表现的肺黏膜相关淋巴组织淋巴瘤两例报告并文献复习. 中国呼吸与危重监护杂志, 2014, 13(1): 67-71.
[6].Borie R, Wislez M, Thabut G, et al. Clinical characteristics and prognostic factors of pulmonary MALT lymphoma. Eur Respir J, 2009, 34: 1408-1416.
[7]. 王正, 左玉强, 王晓彤, 等. 原发性肺黏膜相关淋巴组织淋巴瘤临床及 MDCT 影像表现分析. 国际呼吸杂志, 2020, 40(13): 1037-1041.
[8]. 林观生, 马周鹏, 于骞, 等. 肺 MALT 淋巴瘤的 CT 诊断. CT 理论与应用研究, 2020, 29(1): 95-101.

审核:胡望福(医疗主任)
好文章,需要你的鼓励