前段时间,83 岁的金大伯突然出现腹部剧烈疼痛的症状,赶紧前往医院救治,命悬一线十分危急。
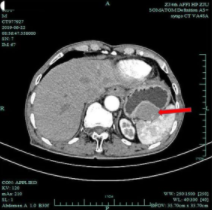
原来,早在两年前金大伯就被查出患有胃间质肿瘤,当时已有 4、5 公分大小,因为没有明显的疼痛症状,他未按医生的建议及时进行手术。

2019年

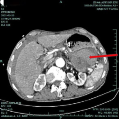
2021年
这次因为腹部剧痛送诊后,专家发现,金大伯的肿瘤已经大了一倍,生长至近 10 公分大小,已经破裂出血。

浙大四院普外科副主任医师赵忠扩:
胃间质肿瘤一旦破裂,可能会在整个腹腔弥散,甚至到处转移,非常危险!

幸运的是,经过医院多学科协作,金大伯的胃部分联合脾脏切除术顺利完成,且目前恢复得不错。
什么是胃间质肿瘤?
胃间质肿瘤,这是一种交界性肿瘤,一般分为低度恶性和高度恶性。

哪类人群易得这类肿瘤呢?
浙大四院普外科副主任医师 赵忠扩:
第一类人群,父母有相关病史的:胃肿瘤、肠肿瘤、肝脏肿瘤;第二类人群,不良的饮食习惯导致胃长期受到不良刺激,包括长期食用腌制菜、熏制鱼以及服用药物 ;第三类人群,患有慢性萎缩性胃炎、多发性胃息肉、慢性胃溃疡的患者。
医生建议:
年纪在五六十岁以上的市民,要定时进行常规的消化道检查,日常保持良好的生活习惯,少熬夜,多吃新鲜蔬菜,多摄入维生素 C 、维生素 E 。
出血性疾病复杂且凶险,如 有病发 需要尽快送医找到病因,并快速有效止血,以免贻误抢救良机。
*声明:本内容仅代表文章来源方观点,不代表本站立场。本内容仅供医学药学专业人士阅读,不构成实际治疗建议。