老王左边后槽牙空了一年多,吃饭总塞东西,炖个排骨都不敢使劲嚼。前阵子同学聚会,夹块红烧肉愣是没咬动,脸上挂不住,回家就琢磨着得把牙补上。
「去小诊所看过,去大医院也看过,医生说骨头太薄了,就 4 毫米,不好种!」不愿意放弃的老王又跑了专科医院,说法都差不多,「风险高,失败了遭罪」,这话像块石头压在他心上。
同学老李说:「要不你去浙四试试?我亲戚就在那儿种的牙,挺好。」 老王揣着片子就来了,接诊他的庄根鹰副主任医师评估后表明:

「的确很麻烦,但不是没有办法。种牙就像种花一样,需要肥沃的土地,当务之急是把您缺牙区的牙槽骨高度提起来,我们才能种牙。」
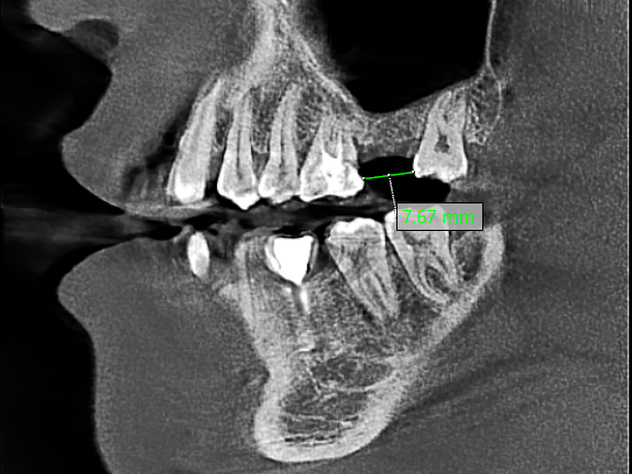
经口腔科种植专家术前详细检查、评估后,决定不采用传统的上颌窦底外提升术,而选择上颌窦底水冲式内提升技术,这种手术对软硬组织的创伤极小,出血量少,微创入路,帮助王大叔成功增加了约 7 mm 的骨高度。
完成上颌窦底提升后,庄根鹰团队为其植入了一枚 8 mm 的种植体,能够满足老王正常的牙齿咀嚼功能。


术前:缺牙区牙槽骨高度严重不足


术后即刻:缺牙区牙槽骨高度提升明显,植体三维位置理想
术后老王以为得肿几天,结果第二天照样喝小米粥,连老伴都惊讶:「没见你疼得龇牙咧嘴哩?」 拆纱布那天,他特意咬了口馒头,嘿,真能使劲!
「现在政策真好,种牙能走医保,我选的这个种植体以前完成修复原价要 15000 元,还不能用医保,集采后现在材料费只要 1800 多元,加上其他费用,最后自己只花了 2000 多,太划算了。」 老王高兴地说。

自 2023 年《浙江省规范口腔种植医疗服务价格项目的通知》政策实施以来,种植牙的价格被「打」下来了。可伴随出现的「怎么选医院?」「怎么选材料?」「怎么用医保?」始终困扰着牙口不好,想要去做种植牙的朋友们。
在浙大四院,单颗常规种植牙的总费用,是由三部分构成的:全流程医疗服务费(≤ 4268 元)+ 种植系统耗材费 + 牙冠费。
这笔钱里包含了这些项目:从前期的诊查、口腔常规检查、生化检验、影像检查,到种植体植入、牙冠修复置入,再到扫描设计建模、麻醉和药品费用,全流程都给你「包圆」了。
这里要特别提醒一下,有些额外的治疗费用是不包含在全流程医疗服务费里的。比如因为种植修复需要进行的拔牙、牙周治疗、植骨、软组织移植等其他牙病治疗,这些是需要额外付费的,很多也可以走医保。
撰稿:口腔科副主任医师 庄根鹰
审核:黄旭 金南星
责编:谢蕊
好文章,需要你的鼓励