产前超声诊断是出生缺陷二级预防中非常重要的手段,为临床诊断保驾护航
病例一
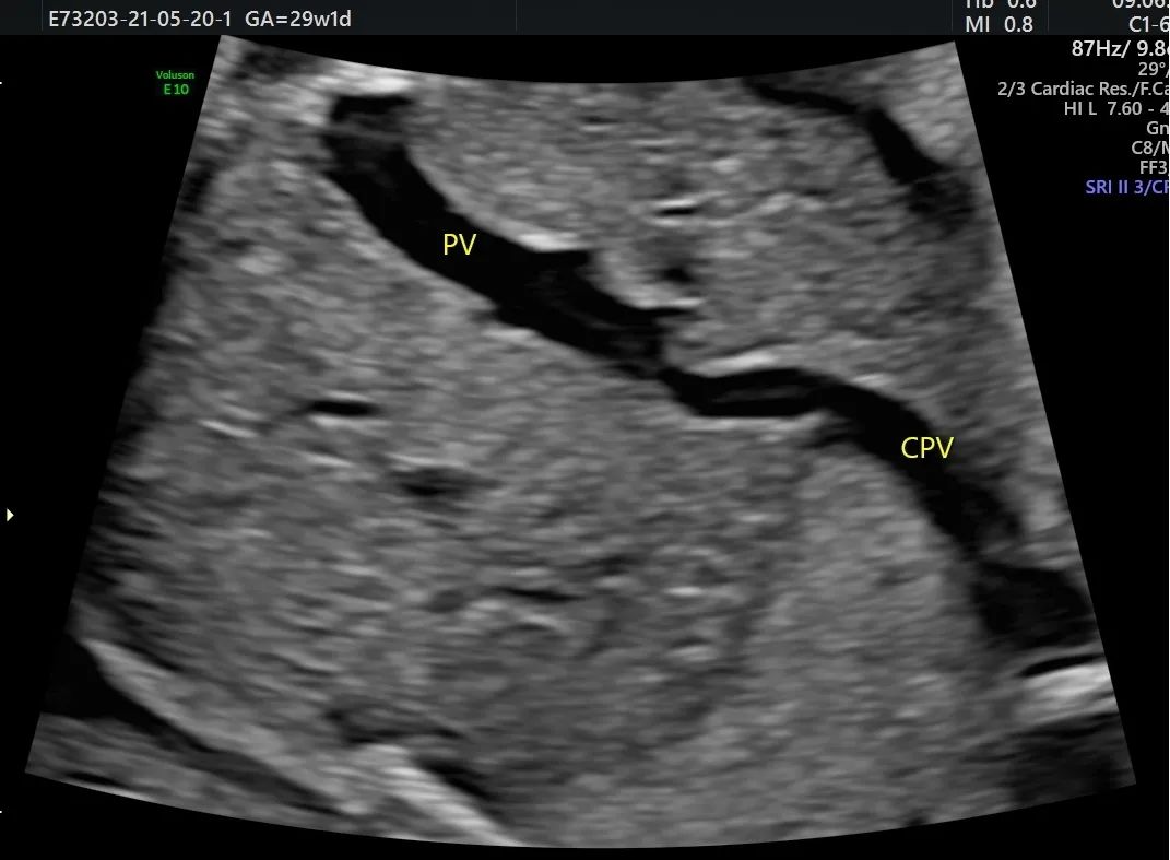
完全性肺静脉异位引流
XXX 女 48 岁 G1PO 孕 29W1D 既往无不良孕史
外院系统、四维超声未发现心脏显著异常,心脏超声检查时发现左心系统小,瓣环及主动脉峡部略细,肺静脉异位引流待排。为进一步明确诊断,特来我院请张军教授会诊。我科行胎心检查时发现左房内未见肺静脉开口;四只肺静脉在左房后方形成共同静脉干后向下走形进入肝静脉。遂做出完全性肺静脉异位引流(心下型)的诊断,为了解生后手术情况,患者到上级医院会诊,证实了此诊断。


正常情况下,四支肺静脉均应引流入左心房。完全性肺静脉异位引流指四条肺静脉形成共同肺静脉干,未引流入左心房,而通过不同途径引流入右心房,右心房内的动静脉混合血一部分经三尖瓣入右心室、肺动脉,一部分经房间隔缺损引流入左心房供应体循环。
TAPVC 发病率低、畸形复杂,诊断相对困难。因存在大量右向左分流,所以新生儿期即出现紫绀、呼吸困难等缺氧症状,情况危急,需早期手术。如果在产前能做出明确诊断,有利于生后做好相应处理措施。
——————————————————————————————————
病例二
面横裂
孕妇 XXX 女 28 岁 G1PO 孕 25W1D
在我院行四维超声时发现右耳及右侧面颊部见赘生物,右侧口角增大,考虑面横裂。跟家属告知情况后孕妇继续妊娠至足月娩出一女婴,Apgar 评分:10 分,生后右侧可见附耳,右侧口角增大,其旁见赘生物,证实了产前的面横裂的诊断。




面横裂又称为巨口症,是由于第一鳃弓上颌突及下颌突融合异常所致面横裂可为单侧裂,表现为两侧口角不对称;也可为双侧裂。除口颊畸形外,还可伴第一腮弓的发育畸形,如颜面部一侧发育不良、耳前瘘管以及附耳等畸形。发生率在 1/3000~1/5000。
产前超声诊断面横裂非常困难,特别是Ⅰ级面横裂更难发现,大多数病例都是生后发现。单纯面横裂可以在孩子三个月以后通过手术治愈,预后佳。
————————
病例三
脐带打结
脐带打结是产科胎儿窒息的高危因素之一,利用产前超声检查能够提供准确有价值的诊断依据,我院自 2020 年 10 月至今共产前诊断处 4 例脐带打结。
产科医生向家属告知病情,因 4 例孕妇孕周都在 38W 以上,家属要求行剖宫产手术,娩出婴儿,Apgar 评分:10 分。外观无畸形,脐带中部近胎儿处见真性打结。


脐带真结较为少见,是脐带走形异常或脐带过长在宫内形成环套,胎儿活动穿越环套所致,往往引起不同程度的并发症,易引起胎儿宫内窘迫,严重者可致胎死宫内。
产前超声如怀疑脐带打结,需高度重视,孕期加强监护,注意可疑处脐动脉及脐静脉内径及血流动力学变化,3D 彩色多普勒高分辨仿真血流技术可立体、直观显示脐带形态结构及血流,对脐带打结有一定的诊断价值。
——————————————————————————————————————
病例四
主动脉弓分支变异
今年我科发现数例主动脉弓分支变异的病例,其中一例为较少见的单一分支,即四支血管共同起源于一支,其它几例均为两分支即左侧颈总动脉异常起源于无名动脉。



主动脉弓是由左心室发出的主动脉的延续,凸侧由右向左依次发出三大分支,即无名动脉、左颈总动脉及左锁骨下动脉。1893 年 Arthur Thomsin 首次对其进行了报道,变异率达 20% 。早期诊断其变异类型,可以为患者以后的介入手术穿刺入路、脑血管疾病及主动脉夹层的治疗提供早期的手术方案。


————
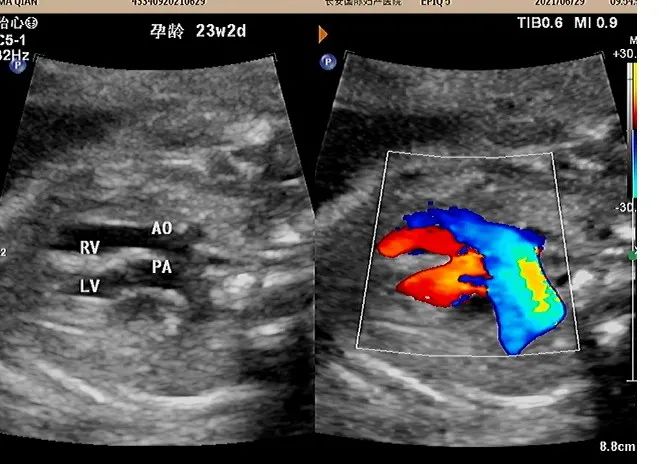
病例五
完全性大动脉转位
孕妇 XXX 女 28 岁 G1PO 孕 18W1D
在本院行常规筛查时发现心脏结构异常,主动脉发自与右心室,肺动脉发自于左心室,室间隔膜周部可见 3 mm 的回声中断,余结构未见异常。
为进一步评估生后手术情况,遂前往西京胎心诊断中心,诊断结论与本院一致。



完全型大动脉转位 ( TGA):即房室连接一致而心室与动脉连接不一致。心房与心室连接正常,右心房通过三尖瓣与右心室连接,左心房通过二尖瓣与左心室连接,但是大血管的连接调转肺动脉发自左心室,主动脉发自右心室。两条大动脉呈并列走行。D-TGA 可以是孤立存在的,也可伴有其他心脏异常。室间隔缺损和肺动脉狭窄 (左室流出道梗阻) 都是 D-TGA 的常见并发症,可单独存在,也可联合发病。
完全性大动脉转位也属于紫绀型心脏病,临床出现紫绀、呼吸困难能症状,所以出生后不久就需要进行大动脉调转手术。
——————————
产前超声诊断的重要性
产前超声诊断是出生缺陷二级预防中非常重要的手段,可在产前检查出胎儿结构的异常,以便及时对不适于出生的胎儿进行干预,对有些出生后需要尽早手术的患儿,如本文中的完全性肺静脉异位引流和大动脉转位这两例复杂先心病患儿,需要选择有小儿心脏外科重症监护的三级医疗机构出生,以便患儿出生后及时手术,降低婴幼儿和围产儿死亡率。
其路漫漫,我们的团队将砥砺前行,做好临床的第三只眼睛!
好文章,需要你的鼓励