近日,前海人寿广西医院心血管内科赵献明主任团队成功实施冠状动脉支架植入术——为一名患者分两次植入冠状动脉支架。此次手术成功,充分体现前海人寿广西医院心血管内科医护人员精湛的医疗技术与丰富的临床经验。1
近日,前海人寿广西医院心血管内科赵献明主任团队成功实施冠状动脉支架植入术——为一名患者分两次植入冠状动脉支架。此次手术成功,充分体现前海人寿广西医院心血管内科医护人员精湛的医疗技术与丰富的临床经验。

1 胸闷困扰 药物治疗后病情仍反复
58 岁的韦女士,被胸闷困扰已有半年有余,运动量稍大就会出现胸闷难忍的情况,严重影响其生活质量。5 月中旬韦女士到院就诊,经冠脉 CTA 检查诊断为冠状动脉粥样硬化性心脏病,不稳定型心绞痛。
患者要求保守治疗,医生予以阿司匹林、氯吡格雷抗血小板聚集、阿托伐他汀降脂等冠心病二级预防治疗后,患者好转出院。
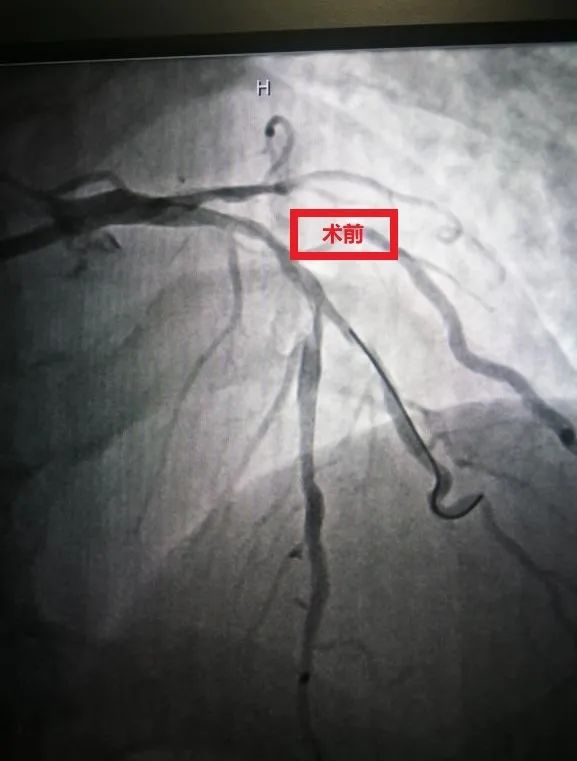
2 血管闭塞严重 情况不容乐观
7 月初,患者韦女士旧病复发,胸闷难忍,为彻底解决病痛,其再度入院治疗。经行冠状动脉造影术显示:患者冠脉呈右冠优势型;左前降支多处严重狭窄,累及分支血管开口。回旋支细小,中远段次全闭塞。右冠脉中段和远段严重狭窄。
3 医术精湛 手术除病痛
同时,由于患者多支血管存在分叉病变,病情复杂、手术难度较大,为让患者能得到更好的恢复,赵献明主任与患者家属充分沟通后决定分两次为患者行冠状动脉支架植入术(PCI)。
赵献明主任、严翼飞副主任带领团队为患者实施了冠状动脉支架植入术。凭借扎实的理论知识和丰富的临床经验,他们顺利完成手术,两次手术用时均在一小时左右,术后患者胸闷得到缓解。

第一次术前

第一次术后

第二次术前

第二次术后
「由于患者多支血管存在严重狭窄,前降支长钙化病变,狭窄累及两个对角支开口,本次手术具有一定难度。如操作不慎,会引起血管撕裂、闭塞等情况发生,严重影响患者预后。」赵献明主任表示。
经过一段时间的精心治疗和护理,患者病情明显好转并已顺利出院。
#DSA—— 「快、准、稳」的精确治疗#
此次冠状动脉造影术、冠状动脉支架植入术的顺利完成离不开前海人寿广西医院引进的西门子 Artis Zee III Ceiling 纯翠平台悬吊式平板血管造影系统。
它是当前最先进的介入诊疗设备之一,能清晰地观察到更微细血管的变化,为手术和介入治疗提供更方便、更准确、更安全的数据,给予患者「快、准、稳」的精确治疗。
前海人寿广西医院正式开展冠状动脉的介入治疗,掀开了前海人寿广西医院冠心病微创介入治疗的新篇章,这将造福广西及周边地区的人民群众,为广大冠心病患者带来福音。

西门子 Artis Zee III Ceiling 纯翠平台悬吊式平板血管造影系统
好文章,需要你的鼓励