近日,湄潭县家礼医院重症医学科为一位口服农药有机磷农药中毒患者运用连续肾脏替代疗法+血浆置换+血液灌流治疗,成功挽救患者生命。
近日,家礼团队运用 连续肾脏替代疗法+血浆置换+血液灌流治疗 技术,成功挽救一名误服有机磷农药的患者。

【接 诊】
当天,家礼医院急救团队接到求救电话后,第一时间赶到现场时发现:患者已经昏迷,脉搏 35 次/分,休克血压,针尖样瞳孔,双肺湿啰音,心率 35 次/分
向家属详细了解病史后,诊断有机磷农药中毒明确。现场立即给予阿托品提升心率,开放气道、升血压等抢救治疗,迅速转诊。到达急诊科患者昏迷状、呼之不应,双侧瞳孔散大,血氧饱和度极低。急诊科、重症医学科医护人员立即开始抢救,气管插管、接呼吸机辅助呼吸,持续心电监护、洗胃……
考虑到患者服用毒物剂量大毒性强,随即转入重症医学科系统治疗。经过及时查体和完善相关检查,明确诊断患者:
1. 有机磷农药中毒(敌敌畏)重度;2. 中毒性循环衰竭;3. 急性肺水肿、急性呼吸衰竭;4. 吸入性肺炎;5. 低蛋白血症。
【治 疗】
入院后当天治疗:1. 积极继续洗胃、导泻;2. 予胆碱酯酶复能剂解毒治疗;3. 有创呼吸机辅助呼吸;4. 血液灌流联合床旁持续连续性血液净化治疗;5. 血管活性药物维持血压等其他综合对症支持治疗。

胆碱酯酶进行性下降

肝功能异常

(白蛋白进行下降)

(凝血功能异常)

(血小板进行性下降)

(心肌酶学异常)


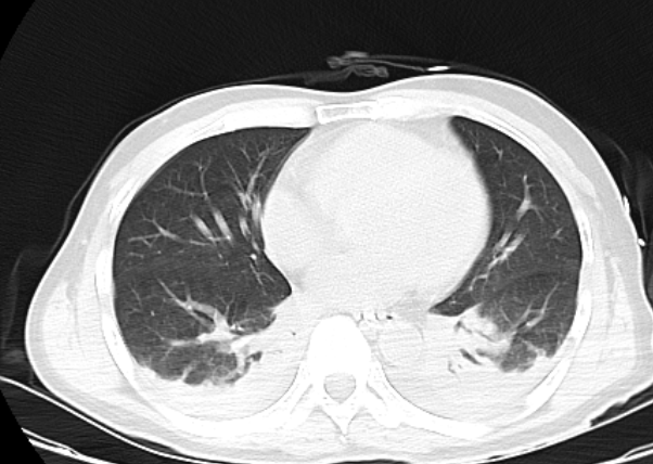
(患者影像改变)
入院后第二天,患者病情进行性恶化,并发消化道出血等。经过全院多学科会诊进行全面讨论,根据患者病情,进一步优化 治疗方案:
1. 继续 胆碱酯酶复能剂解毒治疗 ;2. 调整血液进化方案:血浆置换+连续性肾脏替代治疗+血液灌流;3. 有创呼吸机辅助呼吸;俯卧位通气;床旁纤维支气管镜吸痰,呼吸物理疗法;3. 血管活性药物维持血压等其他综合对症支持治疗。

通过积极治疗,患者的各项指标终于得到明显好转,胆碱酯酶、肝功能、心肌酶恢复正常,其他指标逐渐恢复正常。

经过连续 3 次血浆置换、3 次血液灌流,连续 72 小时血液净化、有创呼吸机、俯卧位通气等综合治疗,患者于入院后第三天复查胆碱酯酶恢复正常,逐渐清醒,逐渐顺利脱机拔管,随后转入呼吸科与危重症科进行肺康复治疗。
目前,经过后续治疗,患者各项指标已经恢复正常,已经出院,出院后随访恢复良好。
好文章,需要你的鼓励