人,是一座由庞大系统运营的「城市」,这座城市里纵横交错的道路,叫做血管,而血栓就相当于那辆永远不守交规的车。
一旦它「快速变道」,血管就会出现堪比深圳上下班高峰的拥堵,进而导致某些人体功能的瘫痪。
大家可能都对血栓有个很基础的认识:血栓堵在脑部,会导致脑梗,也就是中风;要是堵在心脏,就会导致心梗,心肌缺血坏死……
但血栓的凶险远不止于此,它还极具迷惑性,让人不知不觉中错过最佳的治疗机会。
最近有一条相关的案例,给大家敲个警钟:
黄阿姨(化名)退休后爱上了打麻将,几乎每天都长时间坐在麻将桌前「运筹帷幄」。
去年 10 月份的一天,在麻坛上「叱咤风云」后的黄阿姨,突然感觉呼吸费力、难受,胸闷得很,想要深呼吸,但发现只有仰头才能完成深呼吸。
这太奇怪了!黄阿姨回家把情况告诉了家人。
在家人的建议和陪同下,她先是前往当地的医院就诊。当地医院经过诊断,黄阿姨是患上了胸骨后甲状腺肿。
但经过一段时间的治疗后,黄阿姨的病情并没有得到明显改善,仍然觉得呼吸困难。
于是,在女儿的陪同下,黄阿姨来到深圳市萨米国际医疗中心(深圳市第四人民医院),希望能通过手术解决呼吸困难的问题。
医生安排黄阿姨进行了检查,发现她确实患有胸骨后甲状腺肿。
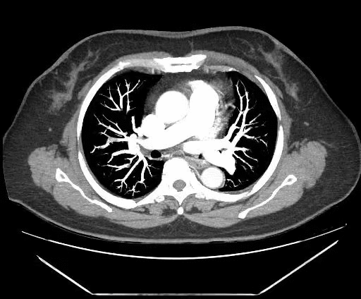
但医生经过仔细观察 CT 影像后还有了新发现,她的双下肢静脉有血栓,肺动脉分支多发肺栓塞。

小腿和肺里都有血栓,这可能是导致黄阿姨呼吸困难的真正原因。
为什么出现了血栓就会呼吸不畅呢?首先,我们来看看什么是静脉血栓以及它的危害:
静脉血栓
长时间不活动,比如长期卧床,或长时间乘坐长途交通工具等,会导致局部的血流速度过于缓慢,在静脉中凝成了『血块』。这种『血块』就是静脉血栓。
危害:导致肺栓塞!
静脉血栓脱落后随血流移动,最后堵住「肺动脉」,就形成肺栓塞,会让人呼吸困难、剧烈胸痛、咯血等,严重者可致命。
由此可见,血栓很有可能是先出现在黄阿姨的小腿血管里,后又随着血管一路流到了肺部,导致她出现呼吸不畅的情况。
但黄阿姨还是想不明白,为什么血栓就找上了自己呢?
「不爱运动,爱打麻将,一坐就是一整天。」黄阿姨的家属这样描述黄阿姨的习惯。
医生一听,便大概了解导致黄阿姨血栓的主要原因——久坐不动。
而且根据体重指数 BMI 来看,黄阿姨还属于「肥胖」。长期久坐加上肥胖,静脉血栓就这样找上了黄阿姨。
1. 老年人、孕产妇、肥胖人群
2. 长期吸烟者
3. 经常久坐不动者
4. 特定家族病史人群(如某些血液遗传病等)
5. 外伤、手术后卧床,使用特定药物或治疗手段的人群
不过黄阿姨的肺栓塞病情较轻,属于中低危级别,只要及时治疗,不会有太大的问题。
但如果不及时体检发现血栓,或是对血栓不重视而耽误治疗,那么问题就大了。血栓会越来越多,血液里的氧分压越来越低,负荷过重的话,就可能发展成高危的肺栓塞,危及生命。


在了解治疗方案后,黄阿姨住院接受了针对肺栓塞的抗凝治疗。
康复出院时,她还笑话自己:「这次回去我可不敢再长时间坐着不动了,除了手指,全身都要动一动啊!」
医生提醒,不论是一天中坐着不动的总时间过长,还是一天中某段时间久坐不动,都会增加患静脉血栓的风险。
每多坐 1 小时,患血栓的风险就会增加 20%。所以,为了避免血栓找上门,下面的贴士马上做起来:
(1)科学用药,控制高血压、糖尿病、血脂异常等基础疾病
(2)积极治疗、控制冠心病、房颤等功能心脏疾病
(3)评估颈动脉斑块稳定性以及是否造成颈动脉狭窄,必要时干预治疗
(4)戒烟酒、适当运动、体重大的人积极减重
(5)多吃蔬菜水果,低盐低脂,均衡饮食
(6)经常久坐或工作需要长时间保持一个姿势的人注意多活动。
请大家珍爱生命,避免长时间久坐。
一旦发现有一侧肢体胀痛、胸闷胸痛、呼吸困难等症状,切不可自行活动下肢,应尽快到医院就诊,接受正规治疗。
好文章,需要你的鼓励