挖了六年隧道,年过半百的「肺」里灌满白水泥

   2020-08-04
字体大小:

随着科技创新发展,或许这一疾病就将湮没在历史中。但这些活生生的病人仍在遭受病痛的折磨。

它——尘肺病,不是原发病是由于长期吸入大量游离粉尘所引发的肺部疾病。

其中最常见、危害最大的是「矽肺」。身患此病是一种无法诉说的痛苦,对于这些患者来说人生剩下的大概只有绝望。

因为在医学上,矽肺病被称为「不转移的肺癌」,到目前还没有有效的治疗方法,除了「换肺」。

青春六年挖隧道

年过半百「肺」突然不行了

「用最大的力气呼吸,感觉还是徒劳。」在家人眼里,70 岁的陈大爷(化名)活着也没有了生气。

「他年轻的时候,做过六年的挖隧道工人,常年累月在地下,当时也没有什么防护意识,吸入了大量粉尘,后来又到建筑工地做木工。」陈先生说,父亲早年身体挺好,一直到 50 岁时,开始觉得体力差,每到季节更替或气温降低时就觉得胸闷气短,容易感冒,剧烈地咳嗽咳痰。

没办法继续从事重体力工作,陈大爷只能选择回家务农。「一开始单纯以为是年纪大了,后来到了当地医院检查,医生说是慢性支气管炎合并肺结核,于是一直按照这一方向治疗,但是始终没见好转。」

病情时好时坏,半拖半带地过了近二十年。

每天气喘吁吁,吃顿饭要歇上好几回,日常活动的区域就是自家小院子,家里的二楼已经十年没走上去过了。

然而没料到从去年开始,陈大爷的病情急转直下,就连院子里走两步都喘不上气,人一下消瘦十来斤,「1.64 米身高,体重只有 80 斤。」

家人先带陈大爷到南京,经过气管镜检查,发现两肺黏膜有大量色素沉着,考虑是矽肺。

二十多年误诊了吗?

矽肺与肺结核有什么关系?

矽肺的并发症包括,肺结核、肺部感染、慢性阻塞性肺炎、自发性气胸以及肺癌等。

「因为矽肺会造成肺部损伤,肺功能以及肺部抵抗力下降,更容易感染结核杆菌,从而出现肺结核,且合并多种并发症,治疗难度大。」树兰(杭州)医院呼吸与危重症医学科杨莉主任介绍,陈大爷还存在慢性阻塞性肺病急性加重期,以及肺动脉高压。

十多天前,因为着凉感冒病情加重,陈大爷家人将其转院至树兰,「因为父亲病情太重无法坐火车,所以我们一路开车从安徽到杭州,当时父亲是坐着轮椅推进杨主任门诊的。」陈先生说,他们一家也咨询了解许多,如今病情危重,他们也考虑为父亲选择「肺移植」手术,所以专程来到树兰求医。

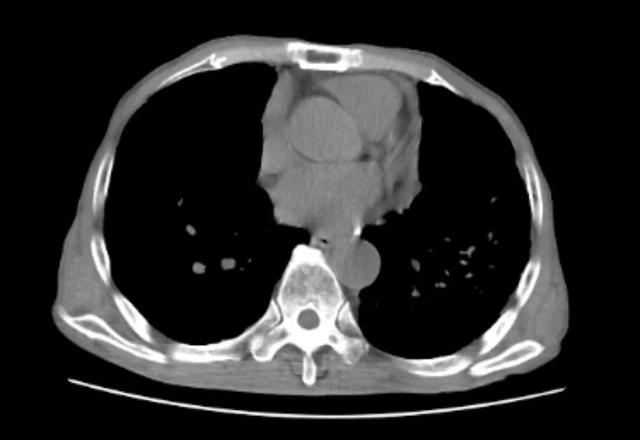
「是否需要进行肺移植手术,还是需要经过医生专业评估,结合患者自身身体状况,来最终决定的。」杨莉主任表示,经过入院胸部 CT 检查,可见陈大爷肺内多发由于粉尘沉积引起的肺部肿块,融合成团,如同白色水泥团块一样,紧紧地附着在患者两处肺门的地方,初步诊断矽肺。

陈大爷的 CT 报告

康复治疗后

他说:好久没有这么舒服的呼吸了

进一步进行肺功能评估,存在极重度混合性通气功能障碍,通气等各肺功能下降,「平地走 100 米或者几分钟后就要停下来喘气。」

而且由于长期缺氧状态,导致过度消耗,陈大爷的营养状况很差,四肢消瘦,全身瘦到皮包骨,力量明显弱于常人。

「矽肺属于慢性纤维化肺疾病,已形成的矽性纤维化不可逆转,因此对于终末期矽肺患者,只能依靠肺移植。」但是考虑到患者年纪以及肺移植等待时间,杨莉主任建议,先立即对症治疗,同时辅助进行肺功能康复治疗,来缓解患者目前的胸闷气促的情况,提高生活质量,延缓病情发展。

患者进行床边踏车以及端坐耸肩运动,锻炼肺功能。

「很多人可能不知道,肺功能还可以锻炼提高,一些日常动作还是很简单的,包括扩胸运动、高抬腿、侧弯腰、原地踏步等等,增加体能有氧训练,还有呼吸控制、腹式呼吸以及呼吸肌肉训练,可以帮助提高呼吸功能。」

在呼吸康复治疗师的帮助下,陈大爷的肺功能明显好转,活动耐量也有所提高,6 分钟步行距离从 304 米增加至 390 米。

别小看这短短不到一百米的距离,陈大爷说:「我已经好久没有这么舒服地呼吸了,能够每天完成增加一些训练项目,让我重新燃起了希望,感受到生活的乐趣!」

未来陈大爷还需要进一步规范综合治疗,以更加良好的状态等待「肺移植」,真正实现自由呼吸!

就在这些矽肺病患者努力治疗寻求康复的时候,在很多地方,依然有很多民工在粉尘中为生计而忙碌。

什么是职业性尘肺病?

是指在职业活动中长期吸入生产性粉尘并在肺内游留而引起的以肺组织弥漫性纤维化为主的疾病。

尘肺病有哪些临床表现?

早期尘肺病人身体能够代偿, 一般没有或只有轻微的自觉症状;随有病变的进展及合并症的出现,则可有不同的症状和体征。

尘肺病人的临床表现主要是以呼吸系统症状为主的咳嗽、咳痰、胸痛、胸闷和气短五大症状。

如何预防尘肺病?

远离尘肺病的关键在于综合预防,对于从事粉尘作业的劳动者来说不仅要做好个人防护,还要做到有质量有效果的个人防护,这样才能达到远离尘肺病的目的和效果。

根据相关统计数据,职业性矽肺病约占全国报告的职业性尘肺病累积和新发疾病的 50%,其他还包括煤工尘肺、石墨尘肺、碳黑尘肺、石棉肺、滑石尘肺、水泥尘肺、云母尘肺、陶工尘肺、铝尘肺、电焊工尘肺、铸工尘肺等 13 种。

至今,矽肺病仍是对健康危害最严重的一种职业性呼吸系统疾病,矽肺发病问题已成为全球重要职业卫生问题,引起国际社会的广泛关注。

编辑: xujia    来源:树兰杭州医院

  • 感染病科

    科室简介感染科由李氏人工肝创始人、我国感染病学界唯一一名工程院院士李兰娟教授领衔,浙江省医学会结核病分会主任委员盛吉芳教授、我国「十一五」、「十二五「肝衰竭...

  • 肾脏病科

    科室简介树兰医院肾病科在寿张飞教授和邹庆玲副主任指导下建立,是集医疗、教学、科研为一体的肾脏病诊疗中心,包括住院病房 120 张床位、血液净化中心 78 张床位...

  • 内分泌代谢科

    科室简介擅长糖尿病、糖尿病各类并发症、糖尿病足、妊娠糖尿病、肥胖症、甲状腺相关疾病、肾上腺疾病、垂体疾病、高尿酸血症及痛风、生长发育迟缓、两性畸形、肠道菌群...

  • 肝胆胰外科

    科室简介树兰(杭州)医院肝胆胰外科肝胆胰外科拥有 4 个病区 274 张床位。由中国工程院院士郑树森教授领衔,医疗团队包括教授及高级职称 10 人,共有医师 30 ...

  • 胃肠外科

    科室简介胃肠外科由著名胃肠外科专家、享受国务院特殊津贴的叶再元教授领衔,中心拥有国内高端的专家团队以及技术力量,在诊断和治疗胃肠、肠瘘、甲状腺乳腺及腹壁疝等...

  • 放射科

    技术优势双源 CT 双能量成像(痛风、肾结石等)、肝脏灌注成像与肝段划分、肝肿瘤手术虚拟计划、心脏 MR 成像、脑灌注功能成像、海马波谱成像。开展肺癌 CT 定位...

  • 超声医学诊断科

    科室简介树兰(杭州)医院超声医学科拥有一支技术精湛、医德高尚、治学严谨的医师队伍,现有员工 29 位,其中主任医师 1 位,副主任医师 2 位,主治医师 3 位...

  • 呼吸与危重症医学科

    科室简介科室学科带头人暨负责人周建英教授擅长呼吸系统疑难杂症的诊治和危重症的抢救,对本专业和相关专业的疑难重症有较高的诊断符合率和抢救成功率。所率领的团队涵...

  • 胸部肿瘤科

    科室简介2019 年 7 月 1 日,树兰(杭州)医院胸部肿瘤中心正式成立,由著名的肺癌专家赵琼教授领衔,全国知名的胸部肿瘤专家为中心顾问,美国肿瘤医生集团 CEN...

  • 普胸外科

    科室简介树兰普胸外科于 2020 年 1 月单独成科,由我国著名胸外科专家朱理教授担任科主任,团队医护人员继承树兰人无畏逆行、勇攀高峰、开拓创新的精神,积极推崇...

  • 妇科

    科室简介妇科是树兰(杭州)医院的特色学科,尤以妇科微创手术著名,集临床、教学、科研与培训为一体,拥有一支高素质的诊疗和教学队伍。妇科技术力量雄厚,人才阶梯合...