(董有正、舒羿 报道)2025 年 9 月 24 日上午,南昌大学第二附属医院心血管内科(以下简称「心内科」)俞建华教授团队在东湖院区成功完成江西省首例血管外植入式心律转复除颤器(AuroraEV-ICD)植入手术。该手术属全国首批开展案例,标志着江西省在心源性猝死预防治疗领域取得关键技术突破。同日,该院心内科陈琦教授团队也在该院红角洲院区顺利完成第二例 EV-ICD 植入。

心源性猝死是心血管疾病领域的"头号杀手"。据统计,我国每年心脏性猝死发病人数约达 54.4 万,由于发病突然且多发生于院外,抢救成功率不足 2%。植入式心律转复除颤器(ICD)被公认为预防心源性猝死最有效的医疗手段,而此次应用的 AuroraEV-ICD 作为全球首款兼具除颤复律与抗心动过速起搏功能的血管外除颤设备,于 2023 年先后通过欧盟认证与美国 FDA 认证,2025 年 6 月通过国家药监局创新医疗器械"绿色通道"批准上市,代表了该领域目前最新技术水平。
首例患者为一名中年男性。该患者 2 月前因饮水呛咳引发晕厥,现场出现心跳呼吸骤停,经外院电除颤、心脏按压等抢救后脱险,冠脉造影排除显著冠脉病变,最终诊断为"原发性室颤",属于心源性猝死二级预防范畴,具备明确的 ICD 植入指征。由于患者有糖尿病史且血糖控制不佳,传统经血管植入 ICD 存在较高感染风险,加之患者期望减少未来设备更换次数,经医患充分沟通后,决定采用血管外 ICD 方案。
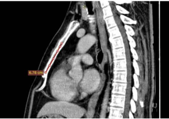
然而术前评估遭遇挑战:患者胸部 CT 显示心脏位置偏低,胸骨长度仅 7 cm,而该设备胸骨后电极所需空间通常为 9 cm。美国同行及技术支持人员均对此表示顾虑并持否定态度。俞建华教授团队联合本院心脏大血管外科杨威教授,反复进行解剖位置分析,广泛参考国内外临床经验,与美方技术人员多轮沟通论证,最终确定了电极的安全植入路径。


手术中,团队经剑突下及左侧腋中线切口,精准分离腹直肌鞘与膈肌薄弱点,将除颤线圈精确置入胸骨后左缘、心包膜前缘,电极经皮下隧道连接至左侧腋中线 ICD 装置。术中诱颤测试显示,30J 能量一次除颤成功转复,程控测定 R 波振幅达 5.3mV,各项参数均符合标准。据了解,该病例是目前国内已知胸骨最短的 EV-ICD 植入患者,手术难度极具挑战性。


同日下午,红角洲院区陈琦教授团队为一名确诊罕见"法布雷病"的晕厥患者成功实施第二例手术。该患者为心源性猝死高危人群,术中设备感知功能良好,3 倍感知灵敏度达 0.45mV,室颤识别准确,30J 除颤一次成功转复。

连续两例全国首批 EV-ICD 植入手术的成功开展,不仅为江西心源性猝死高危患者带来了更舒适、长效的治疗选择,更彰显了南大二附院心内科在高精尖心脏介入领域的技术实力与临床经验。作为全国具有重要影响力的心血管专科团队,该院将持续推动创新医疗技术临床转化,为患者提供更优质高效的医疗服务,助力我国医疗健康产业高质量发展。
好文章,需要你的鼓励