随着疫情政策调整变化,我们迎来了与新冠病毒的「正面交锋」。在这场直击病毒的考验中,医院成为首当其冲的战场,药品短缺、床位紧张、科室减员……
面对突如其来的挑战,有一群人总是迎难而上、无畏逆行,守住人民群众健康的最后防线。他们坚守岗位,勇于担当,冲锋在第一线;他们「轻症」不下火线,好转即刻上岗,战斗在最前沿;他们是这个冬天里最温暖的存在。
连日来,发热门诊人数不断激增,这里是离病毒最近的地方,却始终不缺乏迎难而上的身影。




12 月 7 日至今,发热门诊预检总人数暴增至平时的五倍,平均每天发热门诊就诊人数近 1000 人……沉甸甸的数字背后,是发热门诊全体医护人员、各科支援同事、轮转医学生的前赴后继和勇于担当。


急诊抢救室爆满
有许多为基础病的重症患者
危急关头,主任专家齐上阵
全力患者抢救施治

「为了生命分秒必争」
疫情之下,他们用行动实践着这句平凡的誓言




不仅要有精益求精的态度
还要无微不至的照护




新冠阳性患者过渡病房
以时刻待命的准备
救治每一位到来的患者






平日里灯火通明的手术室
在这些特殊的日子也承担着特殊的使命



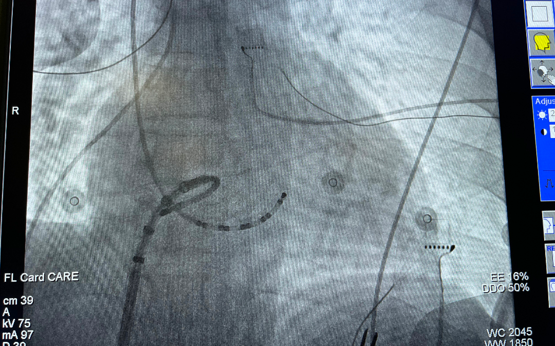
近日,心血管内科桂春主任为新冠阳性室性心动过速(简称「室速」)患者完成手术。47 岁的患者陈某反复发作室速 20 年,近 3 天室速持续性发作,达到心率 190 次/分。此前患者已出现血压下降、头晕眼花等症状,面对这一危急时刻,虽然该患者核酸检测结果为阳性,我院心血管内科随即安排进行射频消融术。手术由桂春教授主刀,手术过程持续 2 个小时,成功找到靶点并消融成功,术后反复诱发均未再诱发出室速。
做好防护
坚守治病救人第一线



门诊,做好排班
确保门诊患者能得到有序的就诊服务


「不能让患者久等」
医疗救治不停歇,出入院办理、收费服务就不中断




每天多检查一位病人
就能为一个家庭带来多一分希望





一个人就是一支队伍
一个人也要站好最后一班岗


团结一致,共克时艰
是同事、是战友、也是家人




连夜加班改造
便民核酸采样点「平地而起」





统筹、分发抗疫物资
你们守护患者,我们守护你们




后勤保障、清洁消杀
标本运送、垃圾转运






互联网医院核酸阳性在线诊疗区
24 小时服务不停歇

有人无惧黑暗
是因为他们把自己变成光
照亮前行的路
向每一位坚守岗位的一附院人致敬!
是你们的坚持让面对疾病的人们重拾力量
我们相信
凛冬已过,暖春必来!
好文章,需要你的鼓励