近日,广西医科大学第一附属医院心胸外科联合放射学科、导管手术麻醉室为两名患者成功开展穿刺手术机器人辅助定位下的肺部肿瘤消融治疗。
这一先进设备与技术的顺利应用对进一步提升精准医疗、智慧医疗具有重大意义,标志着我院肺结节微创诊疗实现全面跨越,正式迈入智慧医疗新阶段。


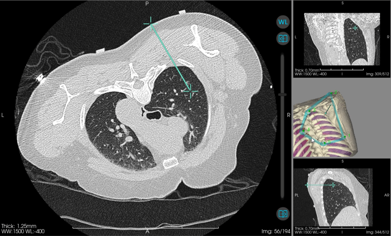
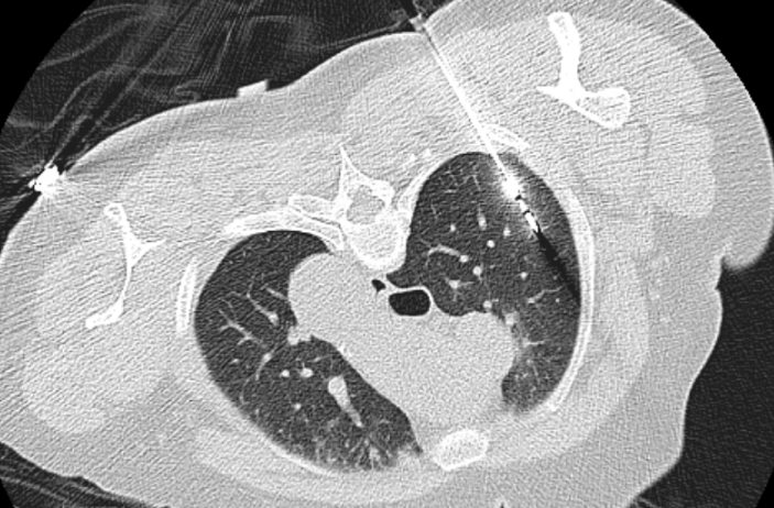
当天,心胸外科主任阳诺带领消融团队开展手术。他介绍,在术前,穿刺手术机器人系统基于患者 CT 影像,能自动构建详细的肺部 3D 立体模型, 清晰呈现结节与周围血管、气管等重要组织的位置关系。
「它就像一位『智能导航员」,精准规划穿刺路径、角度与深度,有效避开血管、气管等重要组织结构,将误差控制在毫米级。」阳诺说。
术中,机器人就像有了「智慧眼睛」和「稳定双手」,整个过程机械臂平稳导航,无需调针,实现对靶病灶的「一针到位」,减少了 CT 扫描次数和患者的辐射暴露。机器人的应用避免了人为因素可能带来的穿刺偏差,从而大大减少了对周围正常组织的损伤,显著降低了气胸、出血等并发症的发生率,也显著缩短了手术时间。


快速精准定位一直是肺结节介入诊疗的核心环节。 目前 CT 引导下经皮肺肿瘤消融治疗、经皮肺结节穿刺定位术、经皮肺肿瘤穿刺活检术等均依赖于高超精准的穿刺技术。传统穿刺方式高度依赖操作者的手感与临床经验,精准的穿刺技术学习周期长,对于刚接触肺肿瘤穿刺技术的医生,实际操作穿刺路径可偏离靶病灶几度甚至到十几度,从而导致多次 CT 扫描并反复调针,耗时长,还会增加出血、气胸等并发症发生率及辐射暴露。而机器人穿刺导航系统可复刻规划好的穿刺路径,彻底改变了传统操作模式。


经皮穿刺机器人的引入,不仅是技术手段的升级,更是诊疗理念的一次跨越。阳诺表示,它打破了学科壁垒,借助人工智能实现肺结节诊疗的精准化、安全化与高效化,推动「一站式」智慧医疗成为现实,给肺部结节患者带来福音。
据介绍,2023 年 5 月,我院心胸外科获批「中国医师协会肺部肿瘤消融治疗技术培训基地(国家级)」,目前应用消融技术已为数千名肺部结节、肺部肿瘤患者解除病痛,同时招收和接纳来自全国各地的学员到基地进行技术培训与交流。此次机器人穿刺手术导航定位系统技术的顺利开展,是我院心胸外科响应国家、自治区关于《「健康中国 2030」规划纲要》人工智能技术在医疗健康领域的研究与应用的重要体现,更推动区域肺结节诊疗水平向精准诊疗、智慧诊疗新阶段迈进,为广大患者提供更为高质量的医疗服务。
小科普
适合应用消融技术治疗的肺部结节、肺部肿瘤患者主要包括以下几类:
①因心肺功能差或高龄不能耐受手术切除;
②拒绝行手术切除;
③外科切除后又新出现的病灶或遗留病灶,患者无法耐受再次手术或拒绝再次手术;
④多发磨玻璃结节(先消融主病灶,其他病灶根据发展情况考虑再次消融);
⑤各种原因导致的重度胸膜黏连或胸膜腔闭锁;
⑥单肺(各种原因导致一侧肺缺如);
⑦重度焦虑,经心理或药物治疗无法缓解。
好文章,需要你的鼓励